Esettanulmányok

Vissza a többi tanulmányhoz /

Amalgámtömések cseréje betétekre

Dr. Sápi Béla páciense régi amalgámtömései már nem biztosítottak megfelelő záródást, ezért mind funkcionális, mind esztétikai szempontból cserére szorultak. Szakorvosunk a fogpótlás lehetőségeit mérlegelve a nagyfokú foganyaghiány miatt a betétek mellett döntött. A betét (inlay/onlay) a fogpótlások egyik fajtája, ám tulajdonképpen egy speciális tömés, melyet lenyomatvételezés után a fogtechnika készít el, és egyben, szilárd formában kerül becementezésre a fogba a fogorvos által egy következő alkalommal. Anyagát tekintve készülhet kompozitból (grádia), kerámiából és aranyból is. A legtöbb esetben készülő grádiabetétet a kifejezett magas esztétikai megjelenésteherbíró-képesség és pontosság jellemzi. 

1

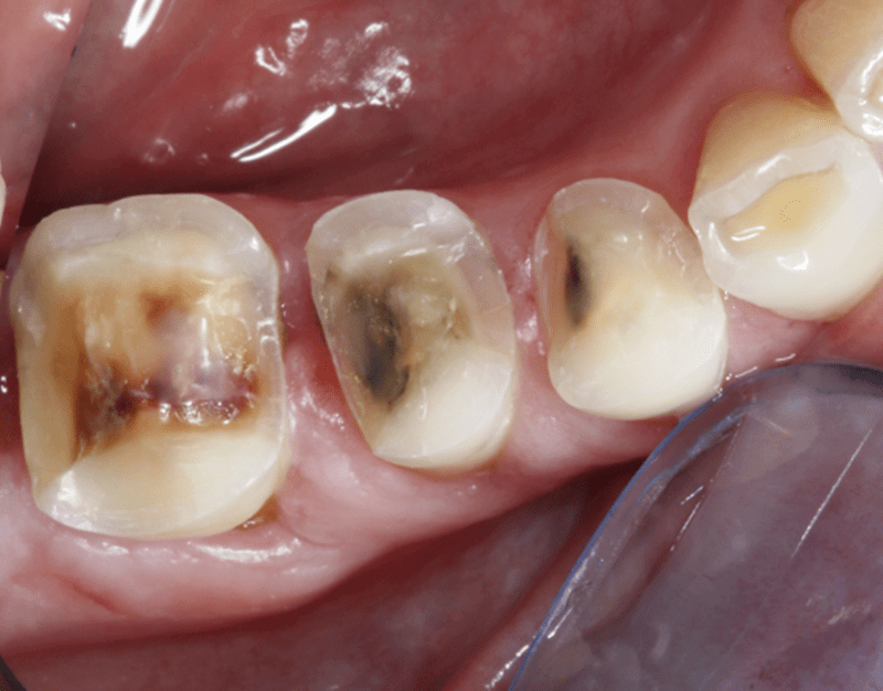
A kiindulási állapoton látszik, hogy a régi amalgámtömések szélei elváltak a fogtól, vagyis nem nyújtanak kellő védelmet. Az amalgámtöméseket a higanytartalmuk miatt amúgy is lassan megszüntetik, úgyhogy minden amellett szólt, hogy kicseréljük őket.

Amalgámtömések cseréje betétekre előtte
2

Az amalgámtömések eltávolítása után a fogakat előkészítjük, és lenyomatot veszünk róluk, hogy a fogtechnika ez alapján el tudja készíteni a betétet. A betét színét a páciens saját fogai színéhez igazítjuk. A páciens ideiglenes tömést kap, hogy a végleges betét beragasztásáig komfortosan érezze magát. Fontos, hogy az ideiglenes tömések nem bírják annyira a strapát, mint a véglegesek, ezért az erőteljes rágást ezeken a fogakon a kezelés végééig kerülni kell.

Amalgamtömések eltávolítása utáni előkészítés
3

A végleges betétek általában egy hét alatt készülnek el, így a páciensnek vissza kell fáradni a rendelőbe. Ilyenkor a szakorvos ellenőrzi, majd beragasztja a kész betéteket. Íme, a szép és tartós végeredmény!

Amalgámtömések cseréje betétekre utána