Esettanulmányok

Vissza a többi tanulmányhoz /

Cirkonkoronák

Igényes nőpáciensünk felső frontfogaiban a sok tömés, kopás esztétikai problémákat okozott. Azzal a határozott szándékkal kereste fel klinikánkat, hogy mi majd szebbé varázsoljuk mosolyát. Az esztétikai problémát különálló cirkonkoronákkal oldottuk meg.

1

Kiindulási állapot

 kiindulási állapot
2

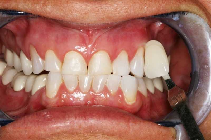
Fogszínválasztás

Fogszín választás
3

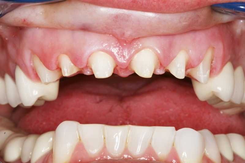
A lecsiszolt fogak

 lecsiszolt fogak
4

Páciensünk természetesen egy ott helyben, azonnal elkészített ideiglenes híddal hagyta el a rendelőt.

 ideiglenes hidat kap
5

Az elkészült fogtechnikai munka

Az elkészült fogtechnikai munka
6

Páciensünk boldog, új mosolya

 páciensünk boldog, új mosolya

Kapcsolódó kezelések