Esettanulmányok

Vissza a többi tanulmányhoz /

Egy fog megmentése mikroszkópos kezeléssel

Dr. Molnár Katalin páciense a bal felső fogaknál jelentkező tompa fájdalomra panaszkodva érkezett fogászatunkra. Hamarosan nyilvánvalóvá vált, hogy a fogpótlás alatt, a foggyökércsúcs körül gyulladás alakult ki. A fog meggyógyításához mikroszkópos berendezést kellett igénybe venni.

1

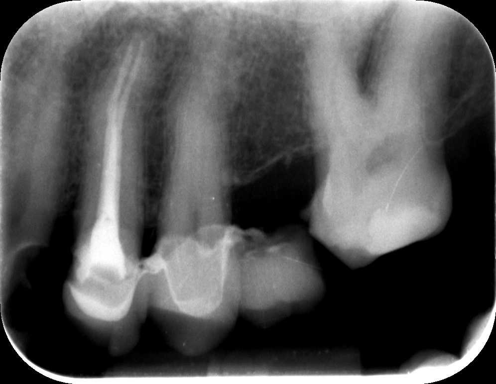
A panorámaröntgent követően készítettünk kisfelvételt is az érintett oldalról. A képen jól látható, hogy a bal felső négyes fog a híd alatt csappal van megerősítve, és a gyökértömés a csatornákban nem ér végig, ennek következtében a gyökércsúcs körül gyulladás alakult ki. A híd levételére, a csap és a gyökértömés mikroszkóppal történő eltávolítására volt szükség ahhoz, hogy a fogat meggyógyítsuk.

 mikroszkópos gyökérkezelés előtti állapot
2

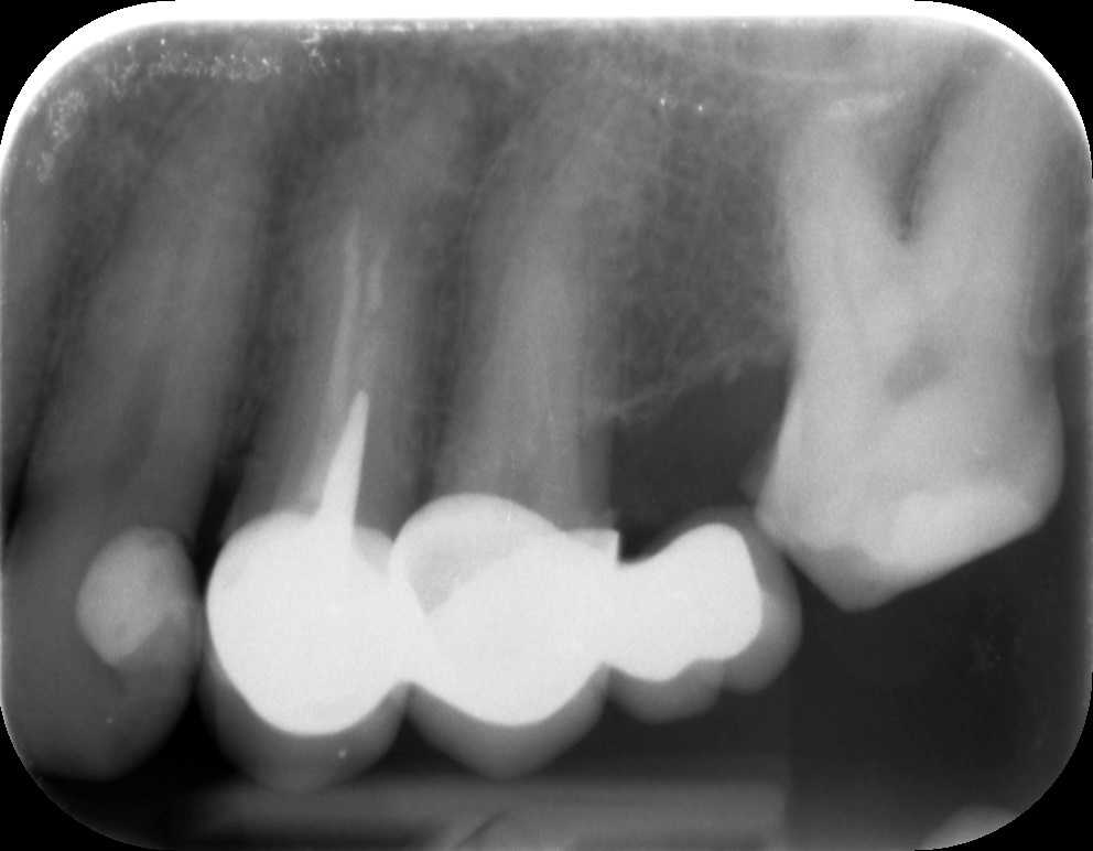
A második alkalommal a csatornák újabb fertőtlenítésére, tisztítására került sor. Ezek után elkészült az új gyökértömés, melyhez ismét igénybe vettük a mikroszkóp segítségét. A fog panaszmentessé vált, így megmenekült attól, hogy el kelljen távolítani! Egy 3 hónapos kontrollfelvétel után már elkészíthető az új fogpótlás, hogy a páciens mosolya újra a régi legyen!

 mikroszkópos gyökérkezelés, elkészül az új gyökértömés