Esettanulmányok

Vissza a többi tanulmányhoz /

Egy hiányzó alsó kisőrlőfog pótlása

Az implantátumban csavarral rögzülő titán protetikai fejre cementtel rögzülő fémkerámia koronát rögzítettünk.

1

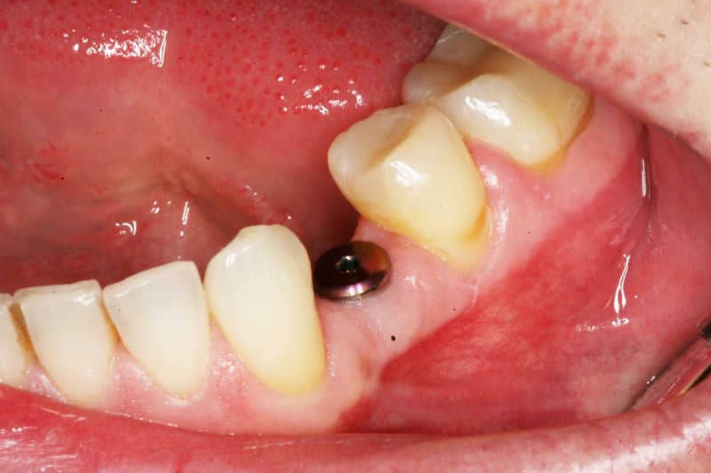
A foghiány helyére rögzített NobelReplace implantátum gyógyulócsavarral

A foghiány helyére rögzített nobelreplace implantátum gyógyulócsavarral
2

Az implantátum megkapta a végleges titán koronatartó fejet

Az implantátum megkapta a végleges titán koronatartó fejet
3

Az elkészült fémkerámia pótlás a gipszmintán

Az elkészült fémkerámia pótlás a gipszmintán
4

A fémkerámia koronát rögzítettük

A fémkerámia koronát rögzítettük