Esettanulmányok

Vissza a többi tanulmányhoz /

Fémkerámia hídpótlás

Dr. Sápi Béla páciense a hiányzó jobb felső első nagyőrlőjét szerette volna pótoltatni, és a szakvéleményt figyelembe véve a hídpótlás mellett döntött. A fémkerámia pótlások esetében egy belső kobalt-króm ötvözet adja a belső, merev vázat, amely cementtel rögzül a fogra (vagy a fogakra), és erre kerül ráégetéssel az esztétikus, fogszínű kerámia. A fémkerámia pótlás előnye, hogy költségkímélőbb a többi pótlással szemben, és ezzel a hagyományos módszerrel is tartós és esztétikailag kielégítő pótlások készíthetőek.

1

Bár a pótláshoz megoldásképpen akár az implantáció is szóba jöhetett volna, a vizsgálatokból és a röntgenfelvételekből az derült ki, hogy az implantátum behelyezéséhez az alacsonyan elhelyezkedő arcüreg miatt csontpótlásra (sinus-liftre) is szükség lett volna. Ezt megfontolván a páciens inkább a hídpótlás mellett döntött.

 hídpótlás rtgfelvétel
2

A foghiányt közrefogó fogakat előkészítettük (lecsiszoltuk) a hídpótláshoz.

 hídpótlás előtt
3

A fogtechnikai laborban elkészül a hídpótlás, azokat a mintán ellenőrizték.

 hídpótlás fogtechnika
4

Jól megfigyelhető a belső kobalt-króm váz és a rajta elhelyezkedő kerámia leplezés (a leplezés a pótlás külső, látható részét jelenti).

 hídpótlás fogtechnika2
5

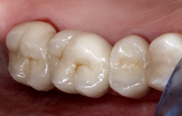
Amennyiben mindent rendben találunk a próbán (ahogy ezúttal is történt), nincs akadálya annak, hogy a fogpótlást stabilan rögzítsük (beragasszuk a helyére). Íme, a szép és tartós hídpótlás!

 hídpótlás után