Esettanulmányok

Vissza a többi tanulmányhoz /

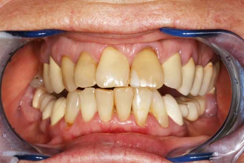
Fémmentes kerámiakorona – 1

40-es éveiben járó nőpáciensünk elégedetlen volt fogainak állapotával és esztétikájával. 

A gyökérkezeléstől elszíneződött fogak, a régi fémkerámia koronák, a megkopott tömések sok ember számára jelenthetnek problémát. A mosolyt fémmentes kerámiakoronákkal varázsoltuk széppé.

1

Kiindulási állapot

 kiindulási állapot
2

A beavatkozás utáni elégedett mosoly

A kezelés utáni elégedett mosoly

Kapcsolódó kezelések