Esettanulmányok

Vissza a többi tanulmányhoz /

Fémmentes kerámiakorona – 2

40-es éveiben járó nőpáciensünk a régi tömött, elszíneződött, érzékeny fogai által okozott problémákra szeretett volna végleges megoldást találni. Klinikánk fémmentes kerámiakoronákkal és -hidakkal varázsolta újjá páciensünk mosolyát!

1

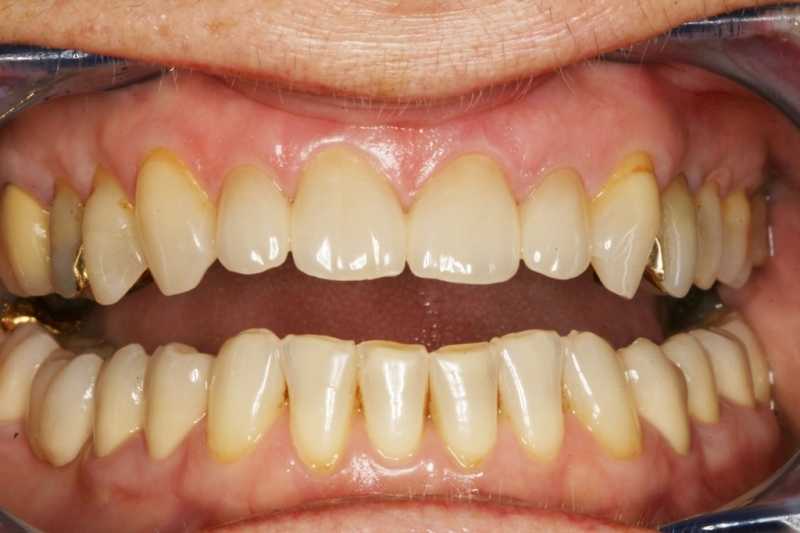
Kiindulási állapot

 kiindulási állapot
2

A beavatkozás utáni látvány

A beavatkozás utáni látvány
3

A páciens szinte teljesen megújult mosolya

A páciens szinte teljesen megújult mosolya

Kapcsolódó kezelések