Esettanulmányok

Vissza a többi tanulmányhoz /

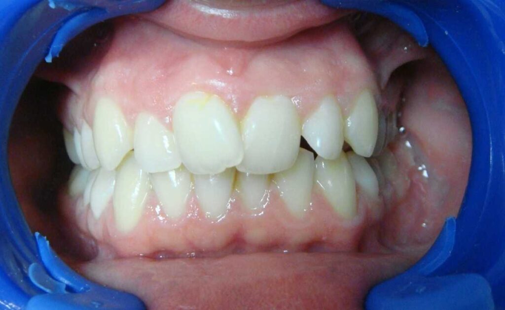
Fogszabályozás egymásra csúszott metszőfogak miatt

19 éves lánypáciensünk a metsző fogainak torlódása miatt jelentkezett fogászatunkon. Dr. Opyakin Viktor enyhe mély harapást és egy kisebb aszimmetriát is megállapított az állcsontok méretében. A fogszabályozás rögzített készülékkel történt.

1

A fogszabályozás során, amelyet rögzített készülékkel végeztünk, aktívan bevontuk a páciensünket a munkánk segítésébe, ami abból állt, hogy a lehető legtöbb időre a fogait a két állcsonton össze kösse elasztikus gumikkal.A harapás kiegyenlítéséhez és stabilitásának eléréséhez erre ugyanis nagy szükség volt.

Fogszabályozás egymásra csúszott metszőfogak miatt kiindulás
2

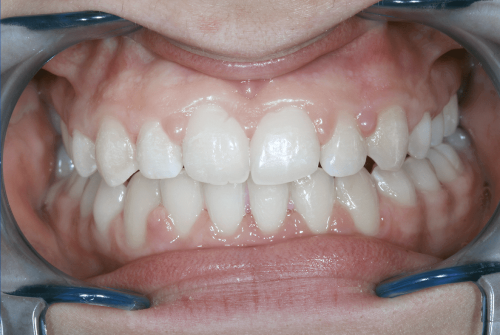
A kezelés a tervezett időtől néhány hónappal később végződött a végső finom beállítások miatt. Ez az eset azt bizonyítja, hogy még maximális kooperáció mellett is megesik, hogy a tervezett kezelési idő nem okvetlenül tartható. Páciensünk maximálisan elégedett volt szép mosolyával. A kezelések befejeztével ma már csak kontrollra jár.

Fogszabályozás egymásra csúszott metszőfogak miatt eredmény