Esettanulmányok

Vissza a többi tanulmányhoz /

Fogszabályozás miniimplantátumokkal

Dr. Opyakin Viktor fogszabályozó szakorvosunk páciensét az előredőlő fogsora zavarta. Más szakemberek állcsontműtétet javasoltak, vagy két kisőrlő eltávolítását a felső állcsontból. A mi kezelési tervünk azonban a teljes fogív hátravontatását jelentette 2 miniimplantátum segítségével.

1

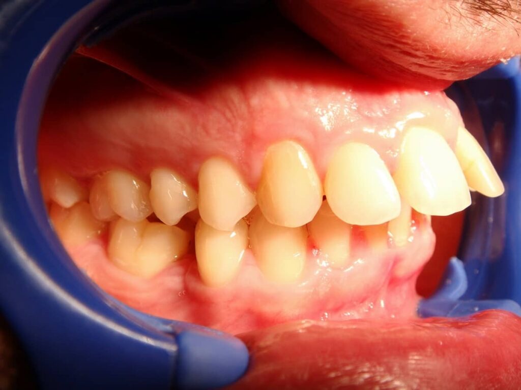
Fiatal férfipáciensünket nagyon zavarta, hogy felső fogsora ennyire előredől. Azt tanácsoltuk neki, hogy a fogívet 2 miniimplantátum és a fogszabályozó készülék segítségével vontassuk hátra. Bár a tervek szerint mi kezelésünk volt a leghosszabb mindazon javaslatok közül, amelyeket páciensünk eddig kapott, mégis emellett döntött.

Fogszab előtti állapot
2

A kezelés része volt a bölcsességfogak eltávolítása, mert a fogak hátratolásához helyre volt szükség. A páciensnek elmagyaráztuk, hogy a bölcsességfogakkal voltaképpen semmit sem veszít, mert azok nem vesznek részt a rágásban.

Fogszab előtt
3

A kezelés mintegy 3,5 évig tartott, ám a páciens végtelen türelemmel viselte az egész folyamatot. A türelem végül szép mosolyt termett! Páciensünk le volt nyűgözve az eredménytől, és örömmel nyugtázta, hogy jól döntött.

Fogszab után