Esettanulmányok

Vissza a többi tanulmányhoz /

Fogszabályozás számfeletti kismetszők miatt

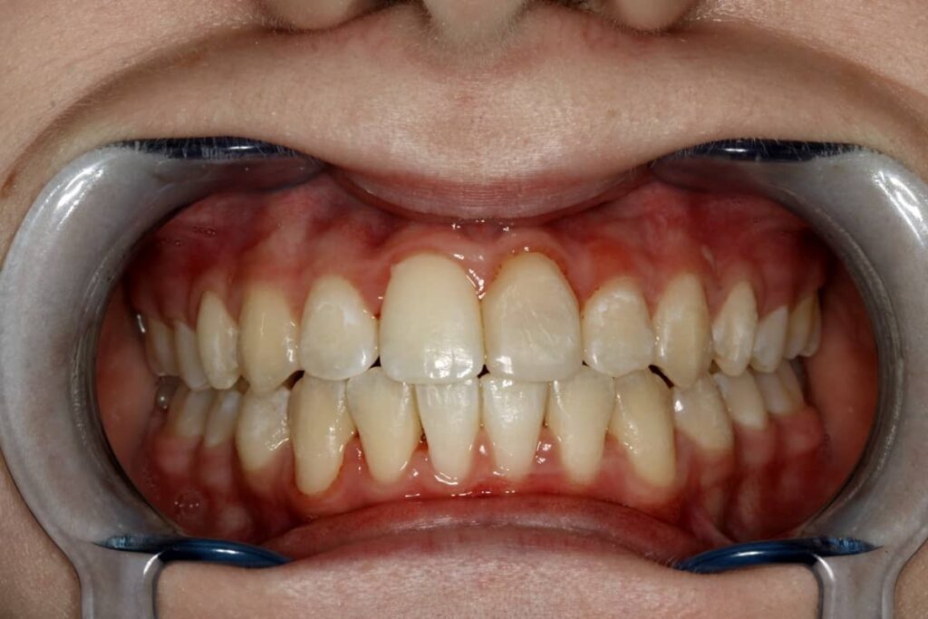
Dr. Opyakin Viktor páciense 14 évesen jelentkezett rendelőnkben a számfeletti kis metszőfogának problémájával. A kezelést rögzített készülékkel terveztük, és 22-24 hónapban állapítottuk meg a lehetséges kezelési időt. Az extrakciót követve megtörténhetett a most már egyetlen jobb
oldali kismetsző beszabályozása. 

1

A képeken is látható, hogy a két kismetsző egymás fedésében nagyon közel tört elő. Szerencsésen a CT-felvételen azt tapasztaltuk, hogy a két fog között nincs fizikai kapcsolat, így bátran elterelve egymástól eltávolíthatóvá vált a külső fog. Esetünkben nem volt különbség a két fog fejlettségét tekintve. Az extrakciót követve megtörténhetett a most már egyetlen jobb oldali kismetsző beszabályozása.

Fogszabályozó duplametsző fent
2

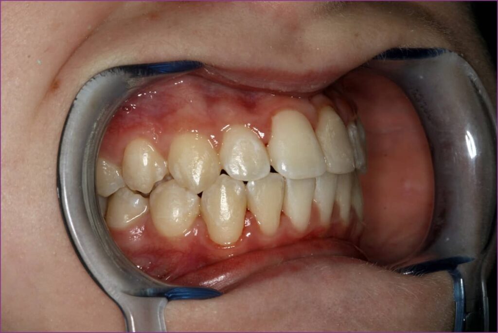
A jobb oldali kismetszők beszabályozásához esedékessé vált az alsó fogszabályzó készülék ragasztása is. A harapás beállítását követően a készüléket eltávolítottuk.

Fogszabályozás duplametsző harapás
3

A fogsor gyönyörű szépen rendeződött. Tinipáciensünk most már csak éjszakai helybentartó sínt visel, amelyet lassan el is fog hagyni.

Fogszabályozó duplametsző utána