Esettanulmányok

Vissza a többi tanulmányhoz /

Frontfogak megújulása

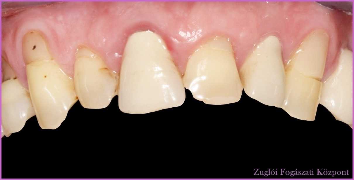
A páciens a frontfogak esztétikájával volt elégedetlen – méghozzá joggal. Kezelőorvosa, Dr. Balogh Brigitta az elszíneződött, hiányos nyaki tömések cseréjét javasolta, valamint a régi fémmentes koronák cseréjét fémmentes Procera cirkónium-dioxid koronákra. 

1

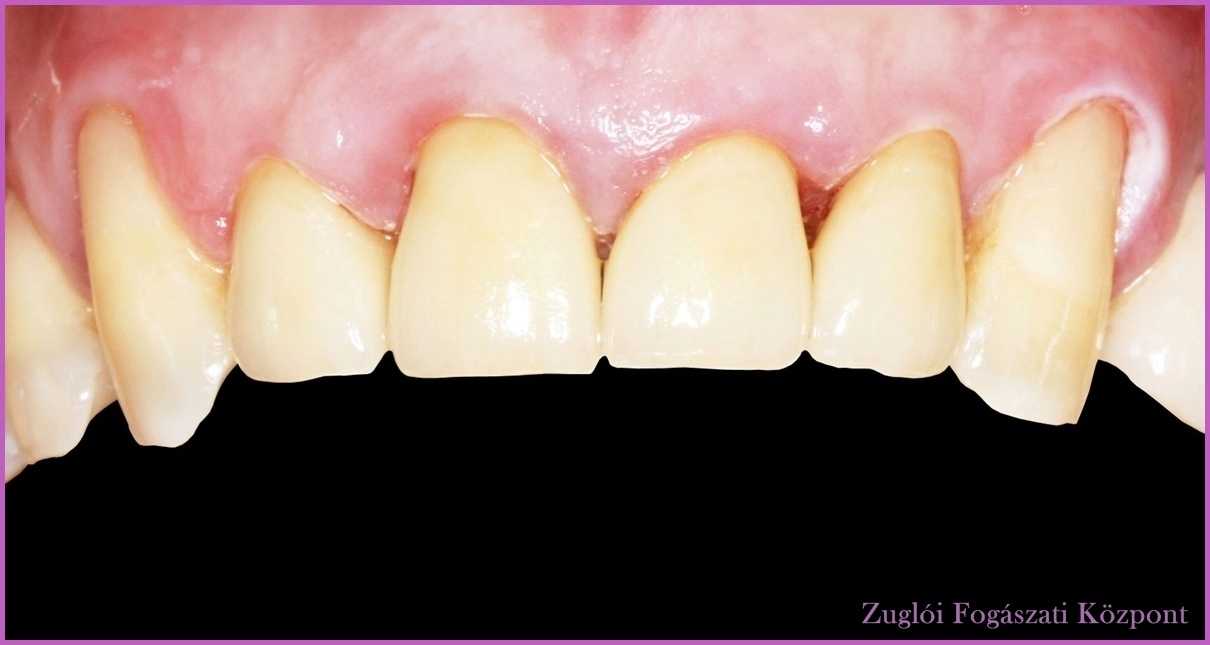
A frontfogak megújulásához a fogorvos a jobb felső kisőrlő és szemfog, illetve a bal felső szemfog elszíneződött, hiányos nyaki töméseinek cseréjét javasolta, valamint a jobb oldali nagy- és a bal oldali kismetszőkön a régi fémmentes koronák cseréjét fémmentes Procera cirkónium-dioxid koronákra. A megfelelő esztétikai eredmény elérése érdekében ugyanilyen koronákat kapott a két másik letörött frontfog is.

Felső front fog előtte
2

Az eredmény láttán boldog mosoly terült szét páciensünk arcán: igen, pont erre vágyott!

Felső front fog utána