Esettanulmányok

Vissza a többi tanulmányhoz /

Ínyrecesszió kezelése kötőszövet-átültetéssel

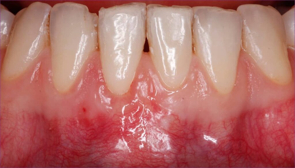
Fiatal hölgy azzal a panasszal fordult Dr. Orbán Kristóf parodontológushoz, hogy a jobb alsó első metszőfogáról az íny visszahúzódott (ez az ínyrecesszió), foga érzékennyé vált.

A dentálhigiénés kezelés után, mikor sikerült elérni a gyulladásmentes állapotot, lehetőségünk volt megtervezni a műtétet. A lehúzódott íny kezelésére ez esetben a szájpadlásból kivett íny átültetését javasoltuk. A saját kötőszövet ugyanis hosszú távon kiszámíthatóbb eredményt ad, mint különböző, legtöbbször állati eredetű ínypótló anyagok. A műtét helyi érzéstelenítésben történt, mely nagyjából másfél órát vett igénybe. 

1

A lehúzódott íny kezelésének első lépése tehát a dentálhigiénés kezelés és instruálás volt. Ezután került sor a műtétre. A visszahúzódott íny területén az ínyt speciális műszerekkel le választottuk és elemeltük a fognyakról, vagyis egy úgynevezett zsebet képeztünk. Ezt követően eltávolítottuk a szájpadlásból a kötőszövetet. A kivett kötőszövet helyére kollagén szivacsot helyeztünk, és a szivacsot varratokkal rögzítettük a zavartalan sebgyógyulás érdekében. Az kötőszövetet ezután behelyeztük az ínyvisszahúzódáson átesett fog körüli íny alá, az előzetesen képzett zsebbe, majd varratokkal rögzítettük az ínyt a kívánt pozícióba.

 ínyrecesszió kezelés előtti állapot
2

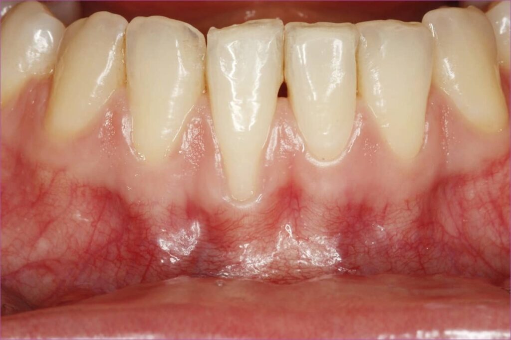
A gyógyulás eseménytelenül zajlott. A varratokat 2 héttel műtét után lehet eltávolítani, ez alatt az idő alatt a pácienst 3 alkalommal hívtuk vissza kontrollra. A műtét sikerességét az első 2 hét gyógyulási idő nagymértékben befolyásolja, amennyiben ez alatt az idő alatt bármilyen ártalom éri a műtéti területet, az átültetett kötőszövet elhalhat és felszívódhat. Ezért az ínyrecesszió kezelésének utolsó fázisának tekintett időszak során 2 héten keresztül nem szabad fogat mosni a műtéti területen, valamint tilos harapni-rágni a frontfogakkal. Helyette a hátsó őrlőfogakat kell használni étkezésnél. Kerülni kell az alsó ajak mozgatását, vagyis 2 hétig nem szabad túlzottan artikulálva beszélni. Mivel a páciensünk szigorúan betartotta az instrukciókat, sikerült az ínyt közel tökéletes pozícióba visszaépíteni és a fognyaki érzékenység is nagymértékben javult. A páciens rendkívül elégedett volt az elért eredménnyel, hiszen az ínyrecesszió kezelése sikeresnek bizonyult.

 ínyrecesszió kezelés utáni állapot