Esettanulmányok

Vissza a többi tanulmányhoz /

Költséghatékony implantációs fogpótlás kevés oldalsó csont esetén

56 éves férfipáciensünk már évek óta szenvedett használhatatlan, instabil protézisétől. 

A kivehető alsó protézis az étkezést és a beszédet is kellemetlenül zavarta.

1

Az új fogsor rágófelszíni része

Az új fogsor rágófelszíni része
2

Az új fogsor implantátumokon rögzülő alsó felszíne

Az új fogsor implantátumokon rögzülő alsó felszíne
3

4 db AlphaBio implantátumot ültettünk be az alsó állcsont elülső, megfelelő csontmennyiségébe. Két hónap múlva már egy csavarokkal rögzülő stéget és azon kapaszkodó fémlemezes kivehető pótlást tudtunk készíteni.

 négy darab alpha implantátumra kivehető pótlást lehet készíteni
4

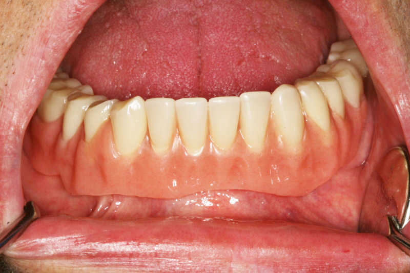
A fogsor az implantátumokra való felhelyezése után. Az így elkészült kivehető fogsor a legstabilabb porcelánhíddal azonos minőséget képvisel.

A fogsor az implantátumokra való felhelyezés után
5

A páciens maximálisan elégedett volt a végeredménnyel. Elmondása szerint már letett róla, hogy valaha normális életet fog tudni élni, most azonban visszanyerte életkedvét és önbizalmát!

Elégedett mosoly a végeredmény láttán