Esettanulmányok

Vissza a többi tanulmányhoz /

Mikroszkópos gyökérkezelés: a negyedik foggyökércsatorna rejtélye

Ez az eset kitűnő példa arra, hogy a mikroszkópos kezeléssel képesek vagyunk felkutatni, feltárni és kitisztítani a szemnek láthatatlan foggyökércsatornákat is. Ezáltal meg tudjuk gyógyítani a folyamatosan panaszt okozó, ám a hagyományos kezelésre nem reagáló fogakat. 

1

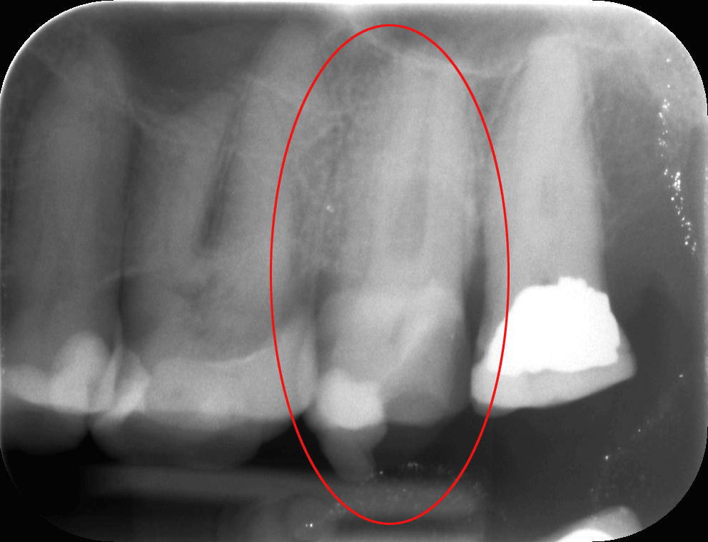
Hölgypáciensünk azért kereste fel rendelőnket, mert a bal felső 7-es foga (az első képen pirossal bekarikázva) állandó sajgását, érzékenységét már tűrhetetlennek érezte. Specialistánk megvizsgálta a röntgenfelvételt, amelyen az érintett fognál 3 foggyökeret lehetett kivenni. Ám fennállt a gyanú, hogy a panaszok okát egy negyedik, „láthatatlan” foggyökérben kell keresni. A kezelőorvos ezért a mikroszkópos kezelés mellett döntött.

 mikroszkópos gyökérkezelés előtt
2

A mikroszkópos feltárás során egyértelműen kivehető volt a 4. csatorna, amit feltártunk, kitisztítottunk, így a gyökértömésről készített kontrollfelvételen (2. kép) már a 4. csatorna teljesen elkülönülő lefutását is nyomon követhetjük. Ha nem mikroszkóppal gyökérkezelünk, akkor ennek a csatornának a megtalálására, kitisztítására elenyésző az esély, így a fog is panaszos maradhat, góccá válhat, és eltávolítása előbb-utóbb indokolttá válik.

 mikroszkópos gyökérkezelés után