Esettanulmányok

Vissza a többi tanulmányhoz /

Préskerámia konzolhíd (Maryland híd) alkalmazása hiányzó frontfog pótlására

Fiatal hölgypáciensünk fiatalkori balesetben elvesztett metszőfogát kellett pótolnunk. Az implantáció nem jöhetett szóba, ám a préskerámia konzolhíd (ún. Maryland híd) mind esztétikailag, mind funkcionálisan jó megoldást jelentett. A kezelés ráadásul minimális beavatkozással járt, vagyis minimál invazívnak volt mondható.

1

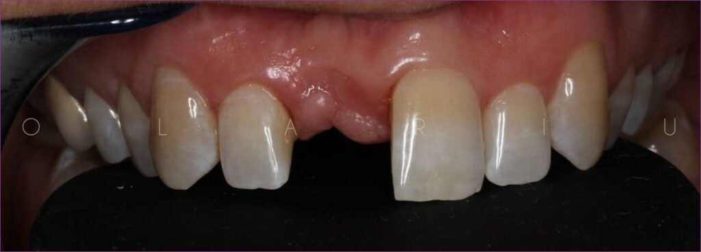
Hölgypáciensünk egy szép és tartós megoldás reményében kereste fel rendelőnket. Évekkel ezelőtt egy balesetben elvesztette a metszőfogát, amelyet hosszú ideig a szomszédos fogakhoz rögzített "ideiglenes híd" pótolt. A kezelőorvos az alapos vizsgálatokat és a 3 dimenziós CT-felvételek kiértékelését követően úgy döntött, hogy a nagy csonthiányra való tekintettel nem implantációt fog javasolni.

 préskerámia konzolhíd (maryland híd) előtte
2

A préskerámia konzolhíd, avagy Maryland híd az eredeti pótláshoz hasonló, ám esztétikusabb és tartósabb. A híd szárnyait a szomszédos fogakhoz rögzítettük, amelyek előzőleg minimális előkészítésen estek át: a régi ragasztóanyagot eltávolítottuk, valamint 0,2 mm-es vállat alakítottunk ki a pontos széli zárás érdekében a fogak szájpadlás felé eső részén.

 préskerámia konzolhíd (maryland híd)
3

A végeredmény egy szép és tartós fogpótlás, amelyhez ráadásul minimális beavatkozást kellett végezni, és szinte semmilyen kellemetlenséggel sem járt, vagyis a kezelés teljes mértékben minimál invazívnak volt mondható. A páciens rendkívül elégedett volt megújult mosolyával.

 préskerámia konzolhíd (maryland híd) utána