Esettanulmányok

Vissza a többi tanulmányhoz /

Préskerámia koronával újjászületett frontfogak

Alig 21 éves, fiatal lány kereste fel rendelőnket azzal a panasszal, hogy felső metszőfogai pár éve egy trauma miatt megsérültek, de a megoldás esztétikája egyáltalán nem nyerte el a tetszését. Dr. Sápi Béla kollégánk a szükséges gyökérkezelés után préskerámia koronát javasolt, ami ideális a szem előtt lévő frontfogak helyreállítására. 

A préskerámia korona ugyanis egy fémmentes, természethű színű, az eredeti foggal megegyező transzparenciájú kerámiából készül. 

Teljesen biokompatibilis, hipoallergén anyagú, így egyáltalán nem kell tartani allergiás reakciótól sem. A préskerámia hátránya azonban, hogy törékenysége miatt a nagyobb teherbírású fogakra (őrlőfogak) és foghiányok pótlására nem igazán alkalmas. 

1

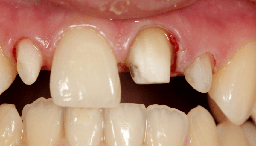
A fiatal hölgy frontfogainak látványa valóban sok kívánnivalót hagy maga után. A konzultáció és a szájüreg vizsgálata után röntgenfelvételek is készültek.

 sérült metszőfog újjászületésre várva
2

A felvételből kiderült, hogy a bal felső nagymetsző és kismetsző is elhalt a sérülés következtében, ezért itt gyökérkezelésre is szükség volt, mielőtt nekiláttunk a préskerámia koronák készítésének.

 préskerámia korona: röntgenfelvétel
3

Ezután előkészítettük a fogat, vagyis szépen lecsiszoltuk, majd mintát vettünk, hogy a fogtechnikai labor előkészíthesse a fogpótlást. Természetesen ilyenkor mintát veszünk a páciens fogszínéről is, hogy a végleges pótlás színében is szépen belesimuljon a fogsorába.

 préskerámia korona: a fog előkészítése
4

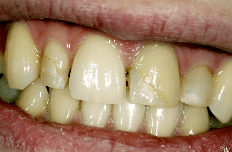
Körülbelül egy hétig tart, mire a végleges pótlások elkészülnek a laborban. Páciensünknek addig sem kellett lecsiszolt fogakkal járnia-kelnie: a csiszolással egy időben ideiglenes koronákat készítettünk a fogcsonkokra.

 préskerámia korona: ideiglenes korona
5

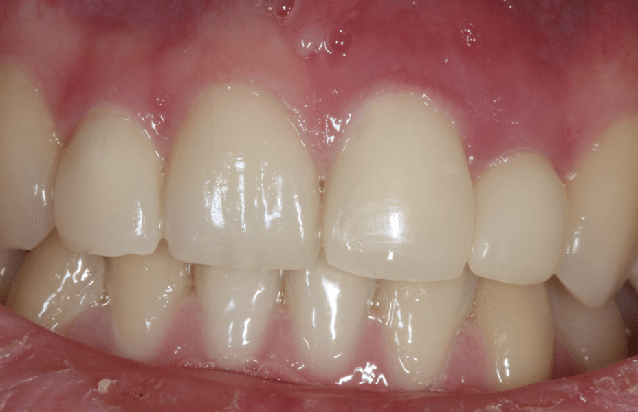
Időközben a fogtechnikai laborban elkészül a végleges korona, amely minden szempontból tökéletesen illik majd a páciens fogsorába.

 préskerámia korona: a labor munkája
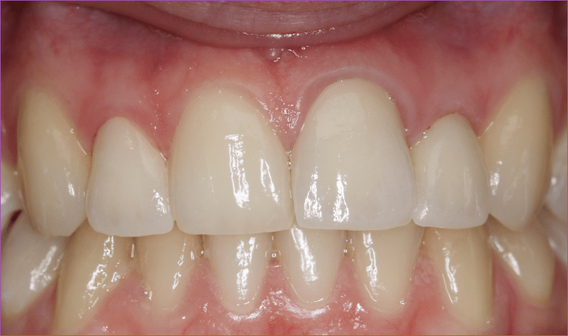
6

A végleges pótlások rögzítése utáni fotó. A végeredménnyel páciensünk rendkívül elégedett volt, amiről boldog - és immár hibátlan - mosolya is tanúskodik!

 préskerámia korona kezelés után