Esettanulmányok

Vissza a többi tanulmányhoz /

Saverózió miatt károsodott frontfogak megújulása eMax-héjakkal

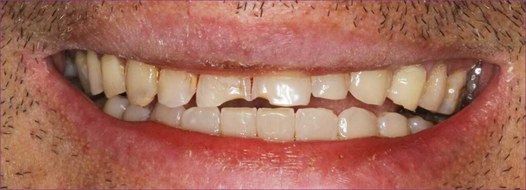
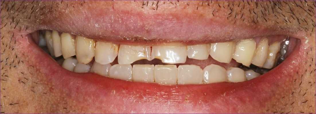
Fiatal férfipáciensünk metszőfogai a saverózió miatt csúnyán erodálódtak. 

Az általunk javasolt kezelés egyrészt az étkezési szokások megváltoztatására irányult, másrészt a károsodás helyreállítására. Ami az elsőt illeti, megvitattuk páciensünkkel, mely élelmiszerektől kellene tartózkodnia, illetve csökkentenie a fogyasztásuk mennyiségét vagy gyakoriságát.

A fogkárosodás kezelésére a felső 4 metszőfogára vékony, ám tartós préskerámia, azaz eMax-héjakat javasoltunk. 

1

A saverózió okára hamarosan fény derült: páciensünk elmondta, hogy kedvenc itala a kóla, amelyből naponta több pohárral is megiszik. A fogkárosodás kezelésére a felső 4 metszőfogára vékony, ám tartós préskerámia, azaz eMax-héjakat javasoltunk. Az eMax lítium-diszilikát egy roppant erős kerámia, mivel készítése során rendkívül nagy erővel préselik össze. Ezenkívül esztétikai tulajdonságai is igen kedvezőek: fénytörése, struktúrája hasonlóvá teszi az emberi fogak anyagához.

 saverózió kezelés előtti állapot
2

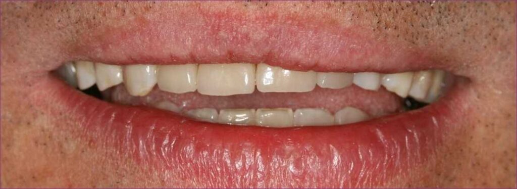
A felső nagy- és kismetszőkre így négy eMax-héj került. Páciensünk azóta minimálisra szorítja a megivott kólamennyiséget, és ügyel arra, hogy a savas élelmiszerek fogyasztása után csak bő 30-60 perccel álljon neki a fogmosásnak, különben a savas közegben felpuhult fogzománcot könnyen felsértenék a fogkefe sörtéi. Életmódbeli változtatásainak és a kezelésnek köszönhetően mosolya immár teljesen megújult!

 saverózió kezelés utáni állapot