Esettanulmányok

Vissza a többi tanulmányhoz /

Teljes lemezes fogpótlás

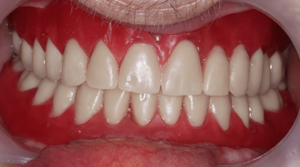
Egy kedves idős hölgy azzal kereste fel protetikai szakemberünket, Dr. Sápi Bélát, hogy régi kivehető pótlásai már nem funkcionálnak jól. A vizsgálatok után a teljes lemezes fogpótlást ajánlottuk páciensünknek.

1

Az alapos szájüregi vizsgálatból és a röntgenfelvételből kiderült, hogy a felső állcsonton megmaradt fogak már nem tarthatók meg, így azok eltávolítása után alulra és felülre is teljes lemezes kivehető pótlást terveztünk páciensünk számára.

Fogpótlás teljes lemezes röngtenfelvétel
2

A fognyomatvétel után a laborban elkészített próbafogsorral ellenőriztük, hogy minden megfelelő a páciens számára, mind funkcionálisan, mind esztétikailag. A végleges műanyag (akrilát) fogak itt még viaszba vannak ágyazva: ezt a próbafogsort használjuk a próba során.

Fogpotlas teljes lemezes fogproba
3

Az átadás során átadásra került az alsó fogpótlás nyálkahártya felé tekintő része, az alsó fogpótlás szájüreg felé tekintő felszíne, a felső fogpótlás nyálkahártya felé tekintő része és a felső fogpótlás szájüreg felé tekintő felszíne.

Fogpótlás teljes lemezes átadás
4

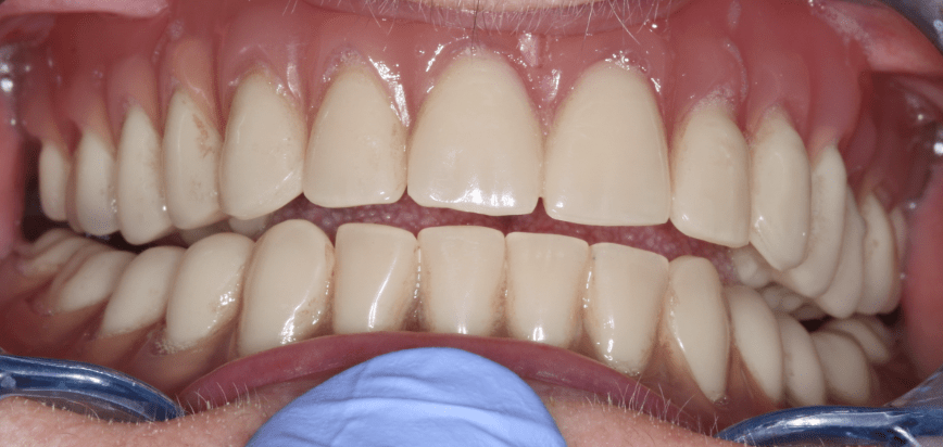
Páciensünk maradéktalanul boldog volt új fogpótlásaival - és ezt egy kedves mosollyal ki is mutatta!

Fogpótlás teljes lemezes átadás után szájban