A mikroszkópos gyökérkezelés ezúttal is fogat mentett!
Ez az eset jó példa arra, hogy a mikroszkópos gyökérkezeléssel képesek vagyunk felkutatni, feltárni és kitisztítani a szemnek láthatatlan foggyökércsatornákat is. Ezáltal meg tudjuk gyógyítani a folyamatosan panaszt okozó, ám a hagyományos kezelésre nem reagáló fogakat. Ez azért nagy dolog, mert a kezeletlen gyulladás, amely a panaszokat okozza, könnyen átterjedhet a gyökércsúcsokra, majd a környező csontszövetet is károsíthatja, végül a nagy fájdalmakat okozó fogat jobb híján ki kell húzni. Szerencsére a mikroszkópos berendezés számtalan hasonló helyzetben segített orvosolni a problémát. Így történt ezúttal is.
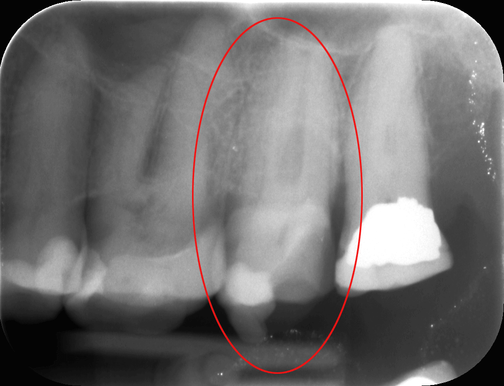
Az 50-es éveit taposó, fiatalos hölgypáciensünk azért kereste fel rendelőnket, mert a bal felső 7-es foga (az első képen pirossal bekarikázva) állandó sajgását, érzékenységét már tűrhetetlennek érezte.
Dr. Molnár Katalin, a mikroszkópos gyökérkezelések specialistája megvizsgálta a röntgenfelvételt, amelyen az érintett fognál 3 foggyökeret lehetett kivenni. Ám fennállt a gyanú, hogy a panaszok okát egy negyedik, „láthatatlan” foggyökérben kell keresni. Az őrlőfogaknál egyáltalán nem számítanak ritkaságnak a rendkívül vékony, szabad szemmel nem vagy alig látható, tekervényes foggyökércsatornák. A kezelőorvos a mikroszkópos kezelés mellett döntött, hogy utánajárjon, van-e „láthatatlan” foggyökércsatornája a panaszos fognak.
A mikroszkópos feltárás során egyértelműen kivehető volt a 4. csatorna, amit feltártunk, kitisztítottunk, így a gyökértömésről készített kontrollfelvételen (2. kép) már a 4. csatorna teljesen elkülönülő lefutását is nyomon követhetjük.
Ha nem mikroszkóppal gyökérkezelünk, akkor ennek a csatornának a megtalálására, kitisztítására elenyésző az esély, így a fog panaszos maradhat, góccá válhat, és eltávolítása előbb-utóbb indokolttá válik.
Páciensünk végtelenül megkönnyebbült. Elmondása szerint a panaszai megszűntek, és úgy érzi, szinte újjászületett a kezelés hatására.


