A mikroszkópos gyökérkezelés ismét sikerre vezetett
Páciensünk, egy szimpatikus és energikus fiatalember, hagyományos gyökérkezelésen esett át, ám panaszai nem múltak el. Azért keresett fel bennünket, mert utolsó szalmaszálként a mikroszkópos gyökérkezelésben reménykedett.
A mikroszkópos berendezés komoly befektetést jelent egy fogászat számára, és kezelését nem könnyű elsajátítani: a szakmai képzés után még bő 1 évre is szükség lehet a szükséges rutin megszerzéséig. Éppen ezért ma még csak kevés fogászat rendelkezik ilyen berendezéssel és tapasztalt kezelőorvossal. Szerencsére fogászatunkon három mikroszkópos berendezés is található, és több tapasztalt kolléga is foglalkozik ilyen jellegű kezelésekkel.
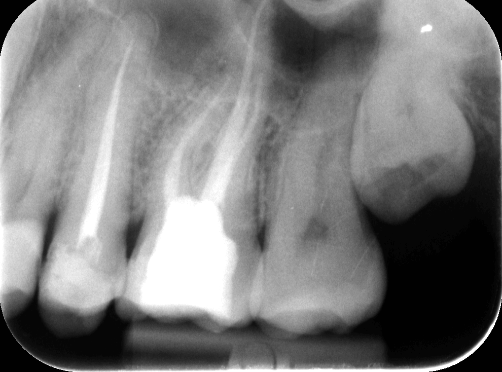
Dr. Molnár Katalin, egyik szakértőnk vizsgálta meg a pácienst. A szájüregi vizsgálatot röntgenfelvétel követte – a diagnózis felállításához és a kezelés menetének felvázolásához mindenképpen szükség van röntgenfelvételre is. A képen látható, hogy egy rosszul elvégzett gyökértömés van az egyik felső 6-osban, amely körül már látható a kezdődő elváltozás. A rossz gyökértömés körül ugyanis könnyen gyulladás alakul ki, amely nemcsak fájdalmas, de meg is változtatja a csontszövet szerkezetét.
Az elkészült röntgenfelvételeken tehát a sötétebb területek jelzik a gyulladás fennállását (pirossal bekarikáztuk), a foggyökércsatornák halványabban látszanak, elmosódottabbak vagy teljesen eltűnnek a felvételen.
Mi az Unikliniknél azt valljuk, hogy a saját fog a legnagyobb érték. Ameddig lehet, igyekszünk megmenteni a saját fogakat – és erre a mikroszkópos berendezés az egyik legjobb eszköz! Több esettanulmányunk is bizonyítja az eljárás hatásosságát. A szabad szemmel nem látható foggyökércsatornák és a bennük levő elhalt vagy gyulladásos szövetek ugyanis erős nagyításban láthatóvá válnak – és kezelhetővé. Mivel páciensünk is szerette volna, ha megmarad a saját foga, örömmel vette tudomásul, hogy ezzel a kezeléssel van esély foga megmentésére.
Dr. Molnár Katalin mikroszkópos berendezéssel szakszerűen elvégezte a fogtömés cseréjét. Ezen a képen ugyanaz a fog látható már a gyökértöméscsere után. Megfigyelhető, hogy a sötét területek kivilágosodtak. Ez arra utal, hogy a gyulladás gyakorlatilag megszűnt, a fog gyógyultnak tekinthető.
Páciensünk öröme határtalan volt, és ma már csak kontrollra jár vissza hozzánk.

