Állkapocsízületi problémákkal küzdő páciens komplett ellátása
Mit jelent a gnatológia?
A gnatológia a fogászat talán leggyorsabban fejlődő és egyik legújabb területe, amely az állkapocsízület (TMI) helyzetével, annak mozgásaival, problémáival (TMD) foglalkozik. Amíg nincs vele problémánk, nem is tudjuk, nem foglalkozunk vele, hogy van ilyen ízületünk, pedig a rágás és a beszéd bonyolult állkapocsmozgásait ez biztosítja, és egyben kapcsolatot teremt az állkapocs és a koponya között.
A fogazat, a myofascialis rendszer (rágóizmok, inak, szalagok) és a szorosabban vett állkapocsízület kényes egyensúlyban van egymással. Ha a fogazat valami miatt megváltozik, akár fiziológiás/patológiás kopásról legyen szó, vagy fogvesztés, trauma vagy akár egy új fogtömés, új fogpótlás miatt, ez az állkapocs mozgásának, pozíciójának a megváltozását okozhatja. Elég egy tized milliméteres eltérés is ahhoz, hogy az állkapocs ne találja meg a nyugalmi pozícióját, megfelelő kényelmes helyzetét. Ez állandó szorításhoz, csikorgatáshoz vezethet, ami a többi fog kopását, az izmok és az állkapocsízület deformálódását eredményezi. Ez gyakran sokáig nem okoz panaszt, csak később jelentkeznek a tünetek. Ebből is látszik, hogy nagyobb fogpótlások készítésekor mennyire fontos a gnatológiai bemérés, az individuális állkapocshelyzet és annak mozgásainak feltérképezése.
Amikor az állkapocsízület valamilyen rendellenes mozgás, feszülés, nyomás miatt sérül, deformálódik, kopik, az megnyilvánulhat fültájéki tompa, esetenként heves fájdalomban, szájnyitási rágási nehézségekben, az állkapocs mozgását kísérő kattogásban, furcsa, recsegő-ropogó hangokban, fülfájásban, illetve migrént, fülzúgást is okozhat, emellett alvászavarok kiváltó oka lehet. Mivel a tünetek hosszú távon alakulnak ki, ezért gyakran a javulás, gyógyulás is sok időt vesz igénybe. Több hónapig is eltarthat, türelmet igényel mind a páciens, mind az orvos részéről, de általában látványos eredménnyel zárul.
Szükség lehet speciális gyógytornára, egyénre szabott éjszakai sín hordására, akár megfelelő fogszabályozó készülék, illetve fogpótlás elkészítésére is. Ilyen esetekben speciális bemérésre van szükség, amihez úgynevezett nyílhegyrajzoló készüléket, arcívet, pozíciós harapásokat használunk, és segítségül hívhatjuk a legmodernebb, erre a célra létrehozott készüléket: az ARCUSdigmát.
Az állkapocs helyzetének, mozgásának megállapítására, esetleges hibáinak felderítésére az ARCUSdigma rendszer szolgál. A KaVo ARCUSdigma egy elektronikus regisztrációs rendszer, amely 3 dimenziós, ultrahangos méréseken alapul, a páciens egyéni alsóállkapocs-mozgásait méri a koponyához viszonyítva, minden olyan beállítási értéket kiszámít a fogtechnikusok számára, amelyek az artikulátor programozásához és az egyedi, funkcionális fogpótlások készítéséhez szükségesek.
Állkapocsízületi problémákkal küzdő páciensünk esetbemutatása
Ismerje meg Dr. Sápi Béla, fogászati klinikánk gnatológiai specialistájának legújabb esetét!
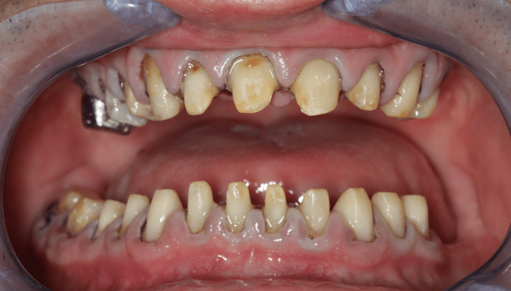
Páciensünk azért kereste fel fogászatunkat, mert évek óta állkapocsízületi problémákkal küzdött, melyek miatt fogai ápolását is elhanyagolta. Első találkozásunkkor szájnyitási nehézségekre, szimmetrikus állkapocsízületi kattogásra és éjszakai parafunkciós mozgásokra (csikorgatás, szorítás) panaszkodott, melyek megnehezítik mindennapjait.
Klinikai és radiológiai vizsgálatok alapján megállapítottam, hogy a túlterhelés (parafunkciók) jelei látszódnak a fogain is: abfrakciók – nyaki kopások és attríciók –, rágófelszíni kopások is kifejezettek voltak. Harapása igen bizonytalan tartományban mozgott, nem volt egy stabil helyzet, amelybe határozottan össze tudott volna zárni (csak kereste a megfelelő pozíciót.) TMI-vizsgálat során reciprok crepitációt (kattanás nyitáskor-záráskor is), myofascialis eltéréseket (hypertrófiás musculus masseter – túlterhelt rágóizom) és beszűkült mozgáspályákat találtam. Emellett sajnos a nem megfelelő szájhigiénés szokások miatt a fognyakak „sérült” részein szuvasodások is megjelentek, illetve a bal alsó hatos és a jobb felső hetes fog már oly mértékben destruálódott, hogy el kellett távolítani őket.
A nagy kiterjedésű szuvasodások ellátására, továbbá a harapási forma és ezzel együtt az ízületi panaszok megszüntetésére full kontúr cirkón pótlást terveztem, melyet individuálisan a rendelőnk ARCUSdigma készülékének segítségével készítettem el.
Első lépésként előkészítettem a fogakat a pótláshoz (szuvas léziók eltávolítása, csonkkiegészítések kompozit tömőanyaggal, csonkpreparálás), és levettem a szükséges lenyomatokat.
Majd ezt követően arcívvel meghatároztam a felső állcsont koponyához való elhelyezkedését, intraorális rajzolóeszközzel a felső és az alsó állcsont egymáshoz való viszonyát, majd az Arcus Digma készülékkel az individuális mozgáspályákat. Ez mind szükséges ahhoz, hogy egyedi, az egyén számára legkényelmesebb fogpótlás elkészülhessen, melytől jelen esetben páciensünk panaszainak rendeződését vártam.
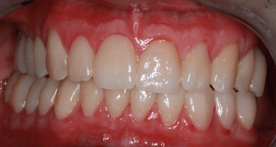
Ezek segítségével a fogtechnikai laboratórium elkészített egy hosszú távú, ideiglenes pótlást, amelyet a páciens 3 hónapon át hordott, természetesen szoros nyomon követés, kontrollok mellett. Ennyi idő alatt a páciens panaszai nagyrészt meg is oldódtak.
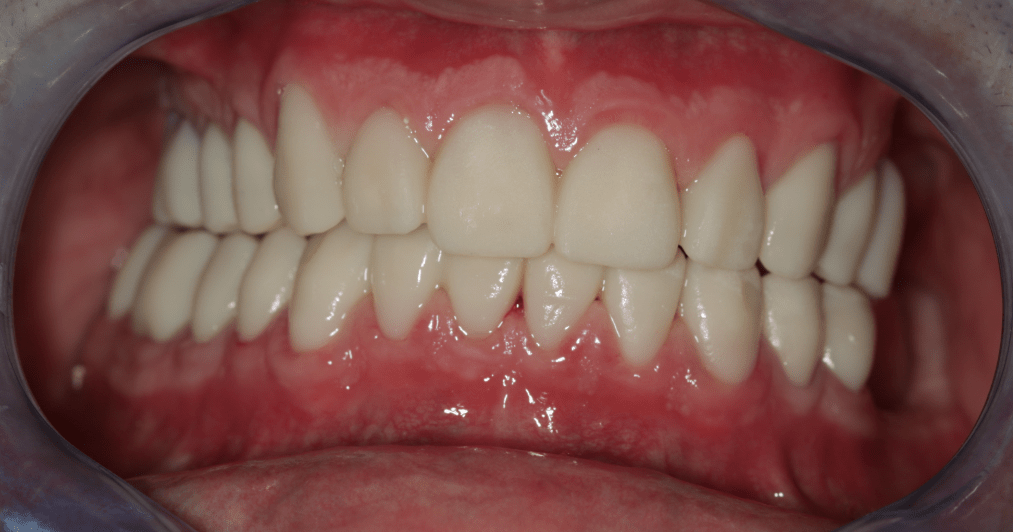
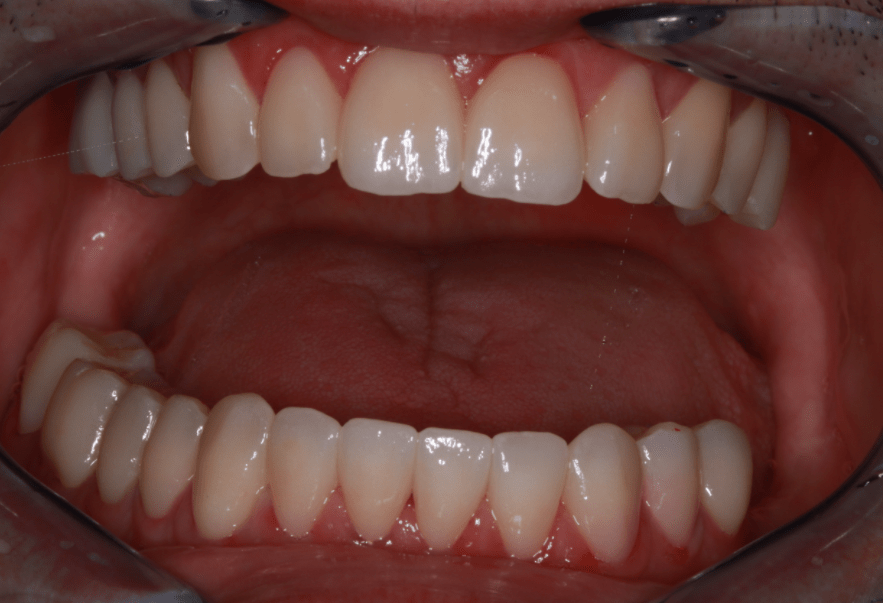
Miután a pácienssel megbizonyosodtunk a pótlás funkcionalitásának sikerességéről, készre kértük a fogtechnikai laborból azt a cirkóniumpótlást, amely a kisebb korrekciókon átesett ideiglenes pótlás tökéletesen pontos mása lett.
A páciens az elért eredménnyel mind funkcionálisan, mind esztétikailag azóta is maximálisan elégedett.



















