ALMA: egészséges vagy káros a szájüreg egészségére nézve?
Ha az egész szervezetre gyakorolt hatásait tekintjük, az alma kifejezetten egészséges élelmiszernek tekinthető. Ideális esetben persze bioalmáról beszélünk, mert ha evés közben vegyszermaradványok is jutnak a szervezetbe, akkor az alma már közel sem mondható olyan egészségesnek.
Mi a helyzet a szájüreggel?
A szájüreget tekintve a kép kicsit bonyolultabb. Az alma rágcsálásakor fogaink szépen megtisztulnak, a benne levő vitaminok többek között az íny épségének is jót tesznek.
Ám sajnos az alma elég erőteljesen eltolja a szájüreg pH-értékét a savas tartományba.
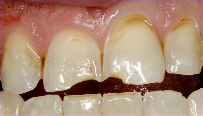
A savas kémhatás azért káros, mert a fogzománc ebben a közegben felpuhul, sérülékennyé válik. A sérülékeny zománcot ért minden erős mechanikai hatás komoly kárt okozhat – ezért nem szabad savanyú vagy savas kémhatást okozó élelmiszerek fogyasztása után közvetlenül fogat mosni! A tartós savas közeg másik romboló hatása a saverózió, amely a fogzománcot roncsolja.
Mi a végkövetkeztetés?
Az almaevés jót tesz a fogaknak és az ínynek, ám ügyelni kell a savasság miatt fellépő káros hatásokra. Almaevés után közvetlenül ne mosson fogat, várjon inkább egy kicsit. Ha nagyon szereti az almát, arra is ügyeljen, hogy ne majszolja órákig, főleg, ha a savanyúbb fajtákat szereti!

