CITROM: egészséges vagy káros a szájüreg egészségére nézve?
Néhány népszerű élelmiszerfélét megvizsgáltunk abból a szempontból, hogy vajon egészséges vagy sem a szájüregre nézve. Ma a citromot nézzük meg közelebbről.
Sőt, vegyük egy kalap alá a citromot, általában a citrusféléket és a savanykás gyümölcsöket!
Rögtön az elején szögezzük le, hogy a citrom (és többi társa) roppant egészséges gyümölcs. C-vitamin-tartalma közismerten magas, és frissen facsarva az ételekre nagyon kellemes ízt kölcsönöz nekik. Nincs is azzal semmi baj, ha frissen párolt halra, tengeri herkentyűkre, salátára, mártásokba tesz belőle. Sőt!
Ám nem szabad elfeledkeznie arról, hogy a citrom, a citrusfélék és a savanykás gyümölcsök leve nagyon savas, és a szájüreg pH-értékét villámgyorsan eltolja a savas tartományba. Ebben a közegben a fogzománc egyébként nagyon szilárd és ellenálló anyaga felpuhul, sérülékennyé válik.
Hosszú ideig ne tegye ki ennek a fogait!
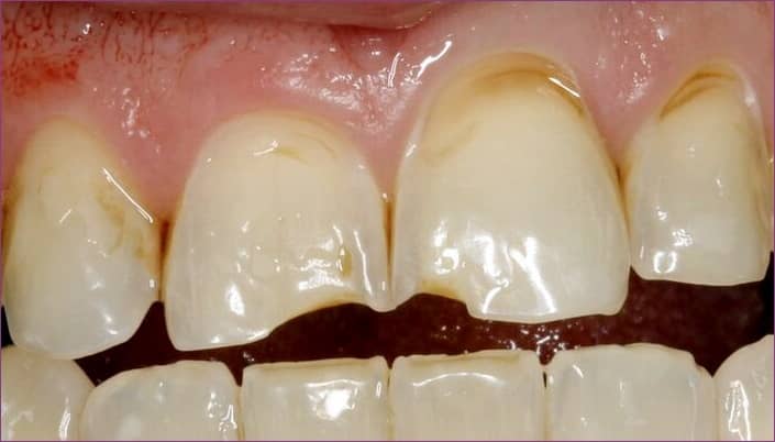
Például azzal, hogy hosszú ideig kortyolgat egy limonádét, vagy citromgerezdeket rágcsál-szopogat. A felpuhult fogzománcot ugyanis akár egy enyhe mechanikus hatás is károsíthatja, a hosszú ideig tartó vagy gyakori savas hatás pedig saverózót okozhat. A lenti képen látszik, hogy a savak pusztító munkája felemészti a fogzománcot, szélsőséges esetben a fogzománc akár teljesen eltűnhet!
Összegezve
Fogyasszon citromot, citrusféléket és savanyú gyümölcsöket, mert a vitaminokra szüksége van a szervezetnek.
Ám ügyeljen arra, hogy tömény mennyiségben a gyümölcsök vagy a gyümölcslé csak rövid idegi érintkezzen a fogaival. Jó ötlet egy szívószál, amely megakadályozza, hogy a savas lé érintkezzen a fogakkal. Kerülje a savanyú gyümölcsök lassú eszegetését, a citrom hosszas szopogatását – és így tovább.


