Egy fog megmentése – a mikroszkópos kezelés ismét segített!
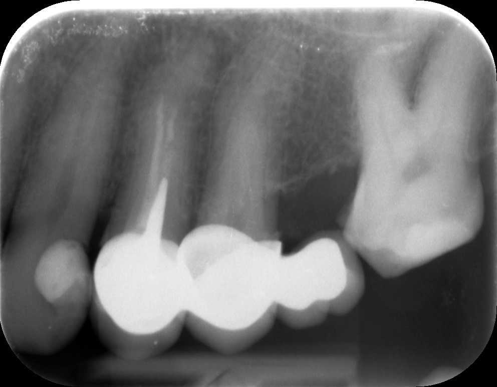
Dr. Molnár Katalin páciense a bal felső fogaknál jelentkező tompa fájdalomra panaszkodva érkezett fogászatunkra. A panorámaröntgent követően készítettünk kisfelvételt is az érintett oldalról.
A képen látható, hogy a bal felső négyes fog a híd alatt csappal van megerősítve, és a gyökértömés a csatornákban nem ér végig. Ennek következtében a gyökércsúcs körül gyulladás alakult ki. Nyilvánvalóvá vált, hogy a híd levételére, a csap és a gyökértömés mikroszkóppal történő eltávolítására lesz szükség.
A gyökércsatornák gyógyszeres lezárása után ideiglenes híddal láttuk el a pácienst.
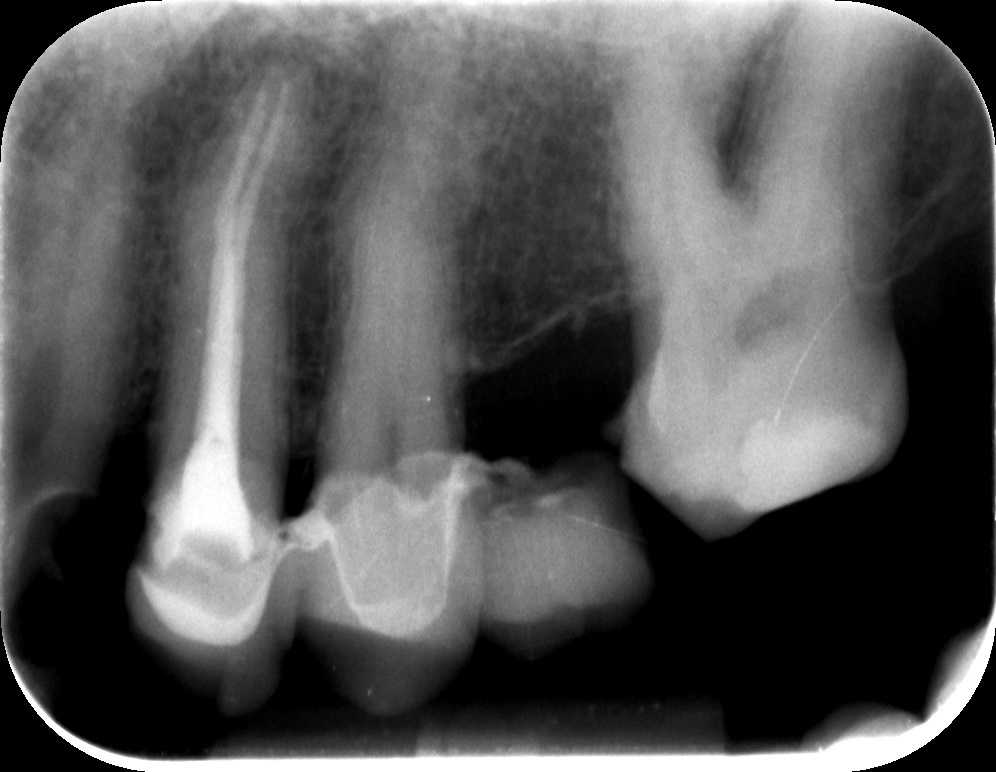
A második alkalommal a csatornák újabb fertőtlenítésére, tisztítására került sor. Ezek után elkészült az új gyökértömés, melyhez ismét igénybe vettük a mikroszkóp segítségét.
A fog panaszmentessé vált – így hát megmenekült attól, hogy el kelljen távolítani!
Egy 3 hónapos kontrollfelvétel után már elkészíthető az új fogpótlás, hogy a páciens mosolya újra olyan legyen, mint régen.


