Esettanulmány: egy letört fog és egy nem korrekt gyökértömés után is van szép mosoly!
A diagnózis
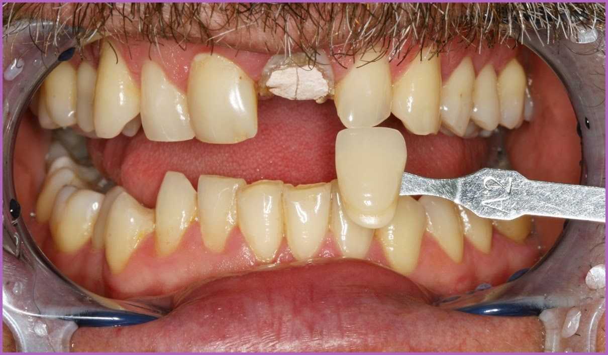
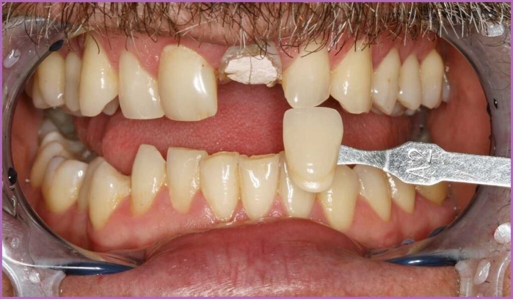
45 éves férfipáciensünk a képen látható státusszal érkezett klinikánkra. Letört és nem korrekt gyökértöméssel rendelkező bal felső nagymetszővel, illetve régi, elszíneződött töméssel bíró, formáját tekintve kedvezőtlen esztétikájú jobb felső nagymetsző foggal.
Első lépés a szép mosoly felé
Az első feladatunk a régi gyökértömés cseréje volt, amihez gépi gyökércsatorna-tágítót és elektromos gyökércsatorna-bemérő műszert is használtunk.
A fogpótlás
Az Emax korona elkészítésénél a fogpótlás megfelelő esztétikai végeredménye érdekében fogtechnikai laborunk nagyfelbontású fotók alapján dolgozott.
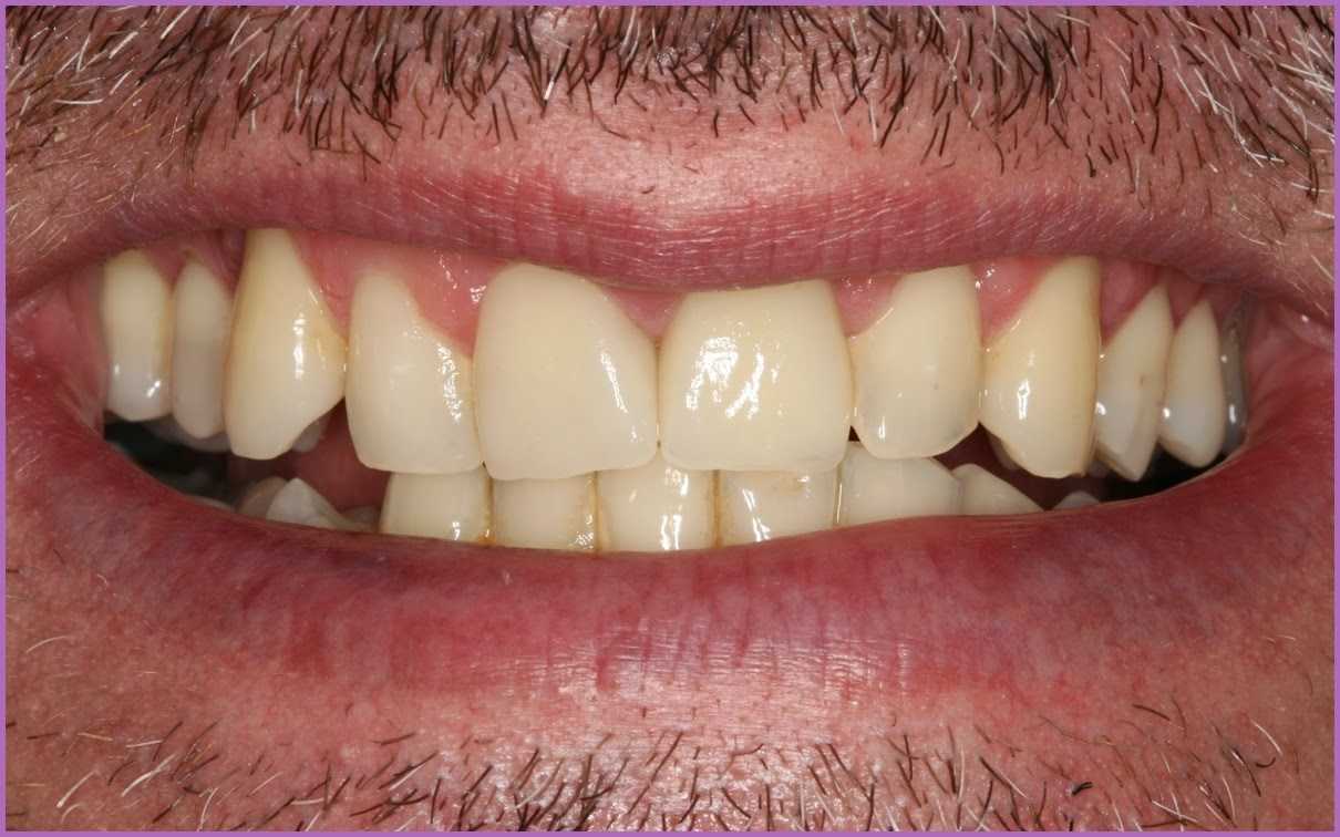
A végeredménnyel nem csak a páciensünk volt elégedett! Az új fogpótlás gyakorlatilag megkülönböztethetetlen a saját fogaktól, és funkcionalitásban is felveszi velük a versenyt.
Összegezve
Páciensünk álmában sem remélte, hogy ilyen szépen rendbe lehet hozni mosolyát. A frontfogaknál minden apró eltérés, hiba azonnal szembetűnik, így ezeknél a kezeléseknél különösen fontos odafigyelni a minőségi munkára és anyagokra.
És ez maradéktalanul sikerült!



