A fogínysorvadás kezelése: a megelőzéstől a megállításig
Sokan nem tudják, de az elsorvadt fogíny már soha nem nő vissza, ugyanis ilyenkor a fogat tartó csontos fogágy is sérül. Miért probléma ez?
Mert ha a fogágy felszívódik, akkor a fogak meglazulnak, végső esetben ki is hullanak. A probléma súlyát jelzi, hogy a fogínygyulladás (gingivitis) a lakosság 70-80%-át érinti. Aggodalomra viszont nincs ok, mert gondos megelőzéssel, illetve szakszerű kezeléssel ez a betegség is orvosolható.
Cikkünkben részletesen elmagyarázzuk a fogágybetegség (másképp monda a fogínysorvadás)
- tüneteit,
- kialakulásának okait,
- megelőzését,
- megállítását,
- és kezelését.
A fogínysorvadás (parodontitis) kialakulása
Mi az a fogínysorvadás?
A fogínysorvadás (orvosi szakkifejezéssel fogágybetegség) egy krónikus gyulladásos betegség, melyet baktériumok okoznak – és legrosszabb esetben a fogak elvesztésével járhat. A kialakulásának legfőbb oka a nem megfelelő szájhigiéné. Ha valaki nem tisztítja kellő alapossággal és rendszerességgel a fogait, nem távolítja el róluk a lepedéket, akkor a lepedékből fogkő képződik.
Ez többnyire tünetmentes, de a betegség előrehaladtával a tünetek is megjelennek, elsőként a fogínyvérzés, amely a fogínygyulladás jele. Amennyiben tartósan fennáll, a felszíni ínygyulladás egyre mélyebbre hatol, egészen a foggyökeret körülvevő rostrendszerig és csontig (parodontium). A legnagyobb probléma nem is az íny, hanem a fogat körülvevő csont pusztulása, aminek következtében meglazulhatnak a fogak.
A fogínysorvadás okai
A fogágybetegség primer etiológiai tényezője a dentális plakkban található baktériumok.
A fogágybetegség rizikótényezői (vagyis olyan tényezők, amik a plakk jelenléte mellett növelik a betegség kialakulásának kockázatát) a következőek:
- rossz szájhigiéné,
- dohányzás,
- cukorbetegség,
- csontritkulás,
- hormonális tényezők,
- fogak túlterhelése,
- stressz,
- helyi plakkretenciós tényezők.
Az esetek döntő többségében azonban a rossz szájhigiénia a ludas.
Az örökletes fogínysorvadás jelentősége
Vannak olyan szakemberek, akik az örökletes tényezők jelentőségét hangsúlyozzák a fogínysorvadás kialakulásában. Peter Sawicki, egy kölni egészségügyi intézet vezetője szerint például a fogszuvasodás és a fogínysorvadás is örökletes tényezőktől függ elsősorban, amit ikerkísérletek is megerősítettek. Így lehetséges az, hogy egyesek már 50 éves korukra elveszíthetik a fogaik nagy részét, másoknak pedig életük végéig átlagon felül jók a fogaik.
Azt azért Sawicki is elismeri, hogy a megfelelő szájhigiénia, illetve az alapos és rendszeres fogápolás döntő jelentőségű. Véleménye szerint ha ezt szem előtt tartja, 60 éves koráig megőrizheti fogai épségét az is, akinek genetikai okokból, a hanyag fogápolás mellett már 40 éves korában kihullanának a fogai.
Az ínysorvadás tünetei
A fogínysorvadás rendkívül alattomos betegség, mivel nagyon sokáig tünetmentes, vagy alig produkál tüneteket. Ezért is olyan fontos, hogy minél előbb diagnosztizálják a betegséget, mert annál nagyobb az esély az érintett fog(ak) megmentésére.
A tünetek közül az első a fogínygyulladás. Legkönnyebben a fogmosás közbeni vérzésről ismerhető fel. A fogínygyulladás kezelése ebben a stádiumban még viszonylag egyszerűen megy:
Meg kell szüntetni a fogínygyulladást okozó körülményeket, vagyis el kell távolítani a fogak felszínén, gyakran már az íny alatt is jelen lévő fogkövet.
Ez után következnek a súlyosabb tünetek:
- érzékeny, kissé dagadt, vörös íny,
- fogínyfájdalom,
- fogíny-visszahúzódás,
- fogmosáskor vérző íny,
- kellemetlen szájszag,
- fogíny elválása a fogaktól,
- rések keletkezése a fogak között,
- meglazuló fogak,
- helyükről elmozduló fogak.
Bármelyik ezek közül már a fogágybetegség jele lehet, ha pedig több is jelentkezik, szinte biztos, hogy az illető parodontitisben szenved. Sokakat megtéveszt, hogy nem éreznek fájdalmat, és nem tulajdonítanak komoly jelentőséget a fenti tüneteknek. Pedig, ahogyan már korábban is említettük, a fogínysorvadás a legritkább esetben jár fájdalommal – de ettől még nagyon is komoly betegségről van szó. A fogágy gyulladása komoly góccá alakulhat, amelyből a baktériumok és az általuk termelt méreganyagok a vérkeringésbe is bekerülhetnek. Itt pedig további szövődményeket okozhatnak:
- ízületi gyulladást,
- érelmeszesedést,
- vagy még ennél is komolyabb betegségeket, például agyvérzést
vagy szívinfarktust.
A fogínysorvadás ellen többféleképpen is felléphetünk, de mint minden betegségnél, itt is a megelőzés a leghatékonyabb.
A fogínysorvadás megelőzése
A legfontosabb az, hogy a fentebb említett kiváltó okokat (pl.: rossz szájhigiénia, elálló szélű tömések és koronák) megszüntessük. Amennyiben a szájhigiéniánkat sikerül rendbe tennünk, hatalmas lépést tettünk a megelőzés érdekében, és lényegesen lecsökkentettük a fogínysorvadás kialakulásának esélyét. A rendszeres és alapos fogmosás, fogselyem- és fogköztisztító kefe használat stb. mellett ide tartozhat valamely fogínysorvadás elleni fogkrém (pl. Triclosan, Lacalut Med) beiktatása is.
Ezen felül érdemes a táplálkozásra is odafigyelni. Fontos, hogy sokoldalúan táplálkozzunk, és figyeljünk rá, minden fontos tápanyagból (rostok, fehérjék, ásványi anyagok stb.) elegendőt vigyünk be a szervezetbe. Hasznos lehet olyan vitaminokat szedni, amelyek segítenek az megelőzésben (B- és C-vitamin komplexek).
Mivel a fogínysorvadás hosszú időn át tünetmentes lehet, nagyon fontos a rendszeres fogorvosi vizsgálat. Egy felkészült szakember egy olyan rendelőben, ahol az ehhez szükséges eszközök (panoráma röntgen, 3D CT) is rendelkezésre állnak, rögtön el is tud végezni egy diagnosztikát. Amennyiben ennek az az eredménye, hogy önnek parodontitise van, akkor a következő lépés értelemszerűen már nem a megelőzés, hanem a tényleges kezelés.
Tehát a megelőzés két legfontosabb összetevője:
- a rendszeres fogorvosi vizsgálat
- és a megfelelő szájhigiénia.
Az utóbbiba beletartozik a naponta legalább egyszeri, de tökéletes fogmosás, melynek része a fogközök tisztítása.
A fogínysorvadás ellen: megállítása
A rossz hír az, hogy a fogínysorvadás visszafordítása nem lehetséges. A jó hír viszont az, hogy a folyamat megállítható.
Első lépésként fel kell deríteni az okokat, ehhez a profi klinikák, mint amilyen az Uniklinik, modern képalkotó technológiákat (például a már említett panorámaröntgent) használnak. Ezután vissza kell állítani a megfelelő szájhigiénét a szájüregben, melynek része minde az íny feletti, mind az íny alatti fogkő eltávolításával lehetséges. A fogkő lehetővé teszi, hogy a káros baktériumok bejussanak a fogágyba – ezért is kiemelten fontos az eltávolítása. De az is lényeges, hogy azonosítsuk azokat a töméseket, fogpótlásokat, koronákat stb., amelyek ingerelhetik az ínyt.
A fogínysorvadás kezelése házilag
A fogágybetegség kezelése házilag sajnos nem megoldható, otthon csak a betegség megelőzése lehetséges. A betegség kezdeti szakaszában ugyan öblögethetünk gyulladáscsökkentő gyógyteával, vagy használhatunk antibakteriális szájvizet, de sokkal jobb, ha szakemberhez fordulunk. Ennek oka, hogy mire kialakulnak a betegség látható, érezhető tünetei, addigra a baktériumok lejutottak a foggyökerekhez is. Ezek megtisztítása pedig a gyökerek felszíni rétegének eltávolításával jár (körülbelül 0,2 mm vastagon), amit csakis egy felkészült parodontológus tud elvégezni egy jól felszerelt rendelőben.
A kezelés lényege, hogy a fogíny vissza tudjon tapadni a fogfelszínre. Ez pedig semmilyen “háztáji módszerrel” nem érhető el. A gyógyításhoz tehát minden esetben szakember szükséges.
A fogínysorvadás kezelése fogorvosi rendelőben
A fogágybetegség egy igen bonyolult fogászati kórkép, így a gyógyítása speciális szaktudást igényel. Ezért az Unikliniknél felkészült parodontológus látja el a fogágybeteg pácienseket.
A parodontitis az alábbi módszerekkel kezelhető:
1. Fogínyműtét:
- Zárt kürettázs: a fogorvos az íny alatti részeket is megtisztítja a baktériumoktól, így azok később is jóval nehezebben képesek megtelepedni.
- Nyílt kürettázs: ha a tasakok már annyira mélyek, hogy a zárt kürettálásra nincs lehetőség, szájsebészeti beavatkozással tárják fel a gyulladt gócot, leválasztják az ínyt a foggyökérről, és így végzik el a tisztítást.
2. Fogínyátültetés:
Egy transzplantációs eljárás során a szájpadlásból nyert egészséges szövettel korrigálják az elsorvadt ínyt.
A fogorvos ezen felül valószínűleg valamilyen fogínysorvadás-gyógyszert is fel fog írni.
Amennyiben szeretné megvizsgáltatni magát, és időben elkezdeni a megelőzést, vagy már észlel valamilyen tünetet, keresse fel fogászati rendelőnket.
A csontpusztulás kezelése
Az előrehaladott fogínysorvadás, ahogyan fentebb már említettük, sajnos visszafordíthatatlan – de ez nem jelenti azt, hogy a modern orvostudomány ne tudná hatékonyan gyógyítani. Az Uniklinikhez hasonló, jól felszerelt fogklinikákon lehetőség van rá, hogy a jól képzett, rutinos szakorvosok a csontképződést segítő anyagokat helyezzenek be a kritikus területekre. A transzplantációs eljárás során a beteg saját testéből, jellemzően az állkapocs hátsó részéből nyernek egészséges csontszövetet. Ezt ültetik be az elhalt részek pótlására.
Ha a parodontitis fogvesztéssel járt, a legáltalánosabb megoldás a fogeltávolítás és a foghiány pótlására a fogbeültetés. Az implantátumot közvetlenül körbenövi a csont.
Gyakran feltett kérdések a fogínysorvadással kapcsolatban
Melyek a fogínysorvadás első jelei?
A betegség sokáig tünetmentes, az első tünetek közé tartozik a, duzzadt, érintésre érzékeny, vagy akár fájdalommal reagáló, vörös íny. A kezdődő fogínygyulladás jele lehet a fogmosás közben vérző fogíny, illetve a fokozatosan visszahúzódó, zsugorodó fogíny és a kellemetlen lehelet.
Létezik fogkrém fogínysorvadás megelőzésére?
Olyan fogkrém, ami a parodontitist gyógyítaná, nem létezik, olyan azonban, ami a megelőzést vagy az utókezelést segíti, igen. Az ilyen fogkrémek, például a Triclosan vagy a Lacalut Med kettős, fertőtlenítő-gyulladáscsökkentő hatóanyagokkal rendelkeznek.
Milyen fogínysorvadás ecsetelők léteznek?
A fogínysorvadás ecsetelőket két nagy csoportra bonthatjuk. Az elsőbe azok tartoznak, amelyek különféle gyógynövények, kivonatok segítségével érik el a gyulladáscsökkentő hatást. Ide tartozik például a mirhakivonat- és fahéjolaj-tartalmú Gingisol Plusz fogínyecsetelő oldat. Ha a baktériumos fertőzés agresszív, szükség lehet antibiotikum-tartalmú ecsetelők használatára is, ami az ecsetelők másik nagy csoportja. Fontos, hogy ezeket csakis orvosi rendelvényre, orvosi ellenőrzés mellett használjuk.
Hogyan kell használni a fogínysorvadás ecsetelőt?
Általánosságban valamilyen tamponszerű anyaggal, például egy darab, kissé összetömörített, összegyúrt vattával végezzük az ecsetelést. Az ecsetelőből pár cseppet öntsünk a tamponra, és a kezelendő részeket ecseteljük vele a szájban. A legjobb, ha az ecsetelőhöz mellékelt betegtájékoztató utasításait követjük abban a tekintetben, hogy naponta hányszor végezzük el ezt a kezelést (a Glingisol Plusz esetében például ez napi 2-4 alkalom). Az ecsetelésre fogmosás után kerítsünk sort.
Hogy működik a fogínysorvadás gyógyszeres kezelése?
A gyógyszeres kezelés leggyakrabban antibiotikum-kúrát jelent. Ez hatékony eszköz a gyulladást okozó baktériumok elpusztításában, így segíti a fogíny regenerálódását. Kifejezetten hatásosak lehetnek a metronidazole és az amoxicillin tartalmú gyógyszerek. Előbbit azonban nem szedhetik a penicillinérzékeny betegek, utóbbi esetén pedig kerülni kell az alkoholfogyasztást. Mivel a baktériumok előbb-utóbb rezisztenssé válhatnak az antibiotikumokra, ezeket rövid távon, néhány napos kezelésként ajánlják, kifejezetten akut esetekben.
Kezelhető a fogínysorvadás vitaminnal?
Nem kezelhető, ugyanakkor a fogínygyulladás kialakulásában szerepe lehet a vitaminhiánynak. Éppen ezért a fogínysorvadás megelőzésében van kiemelt jelentősége a változatos táplálkozásnak és a megfelelő vitaminbevitelnek. Különösen a B3-, a D- és, legfőképpen a C-vitamin rendszeres és megfelelő mennyiségű fogyasztására figyeljünk oda.
Visszafordítható a fogínysorvadás?
A fogínysorvadás sajnos nem fordítható vissza, mert az elsorvadt, felszívódott szövetek örökre elvesznek. Ez azonban nem jelenti, hogy nem lenne kezelhető: a folyamat megállítható, a károsodott szövetek transzplantációval pótolhatóak. Ha pedig fogvesztés történt, beültetéssel, implantátummal ez is helyreállítható.
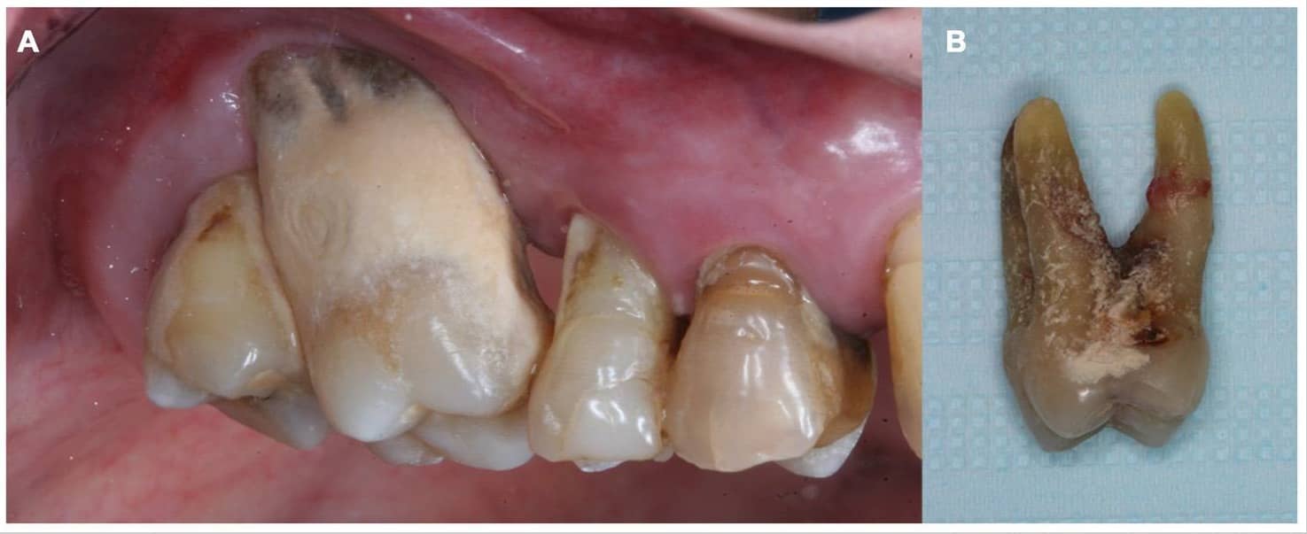
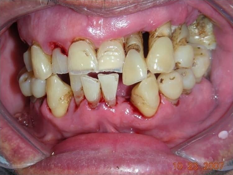
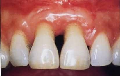
Fogínysorvadás képek
Végezetül következzen néhány kép (vigyázat, csak erős idegzetűeknek!) erről az alattomos betegségről. Ezek akár figyelmeztetésként is felfoghatók arra az esetre, ha valaki nem fordul időben parodontológushoz.
A fogínysorvadásos képek forrása a Wikipédia.





