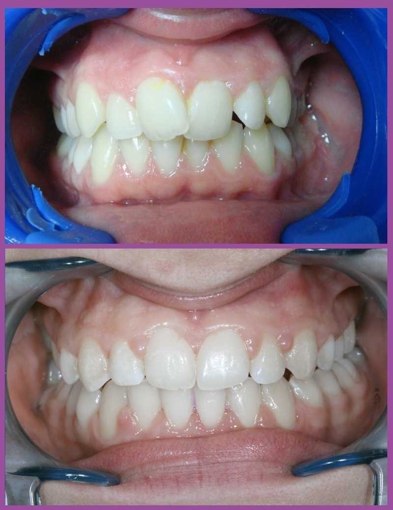
Fogszabályozás egymásra csúszott metszőfogak miatt
19 éves lány páciensünk torlódott metszőfogai miatt jelentkezett fogászatunkon. Dr. Opyakin Viktor fogszabályozó szakorvos a vizsgálatok során megállapította, hogy enyhe mélyharapás is társult a képhez, valamint egy kisebb asszimmetria az állcsontok méretében.
A fogszabályozás során, amelyhez rögzített készüléket használtunk, aktívan bevontuk a fiatal hölgyet munkánk segítésébe. Ez abból állt, hogy megkértük, a fogait a két állcsonton a lehető legtöbb időre kösse össze elasztikus gumikkal. A harapás kiegyenlítéséhez és stabilitásához erre ugyanis nagy szükség volt.
A kezelés a tervezett időhöz képest néhány hónappal később végződött a végső finom beállítások miatt.
Ez az eset azt bizonyítja, hogy még maximális kooperáció mellett is megesik, hogy a tervezett kezelési idő nem okvetlenül tartható, bizonyos biológiai, fizikai tényezők bizonytalansága, kiszámíthatatlansága miatt. A kezelési időt tehát csak becsült időtartamként lehet kezelni, amely a valóságban rövidebb, de hosszabb is lehet a tervezettnél.
A fiatal hölgy maximálisan elégedett volt megújult mosolyával, és ma már csak kontrollra jár hozzánk.


