Fogszabályozás számfeletti kismetszők miatt
Fogszabályozási esettanulmányunkból kiderül, hogy számfeletti fogak esetén is gyönyörűen helyre lehet hozni a fogsort. Esetünkben egy fiatal lányról volt szó, ám a fogszabályozás nem csak tinikorban működik!
Elöljáróban le kell szögeznünk, hogy a fogszabályzó készülékek előírásszerű használata minden életkorban előidézi a szükséges változásokat. Fiatal korban ezek az élettani változások gyorsabban zajlanak le, mint később, de ez nem jelenti azt, hogy idősebb korban már nem érdemes belevágni mosolyunk megszépítésébe. Fogászatunkon 60 év feletti pácienseknél is sikerrel alkalmaztuk a fogszabályozást.
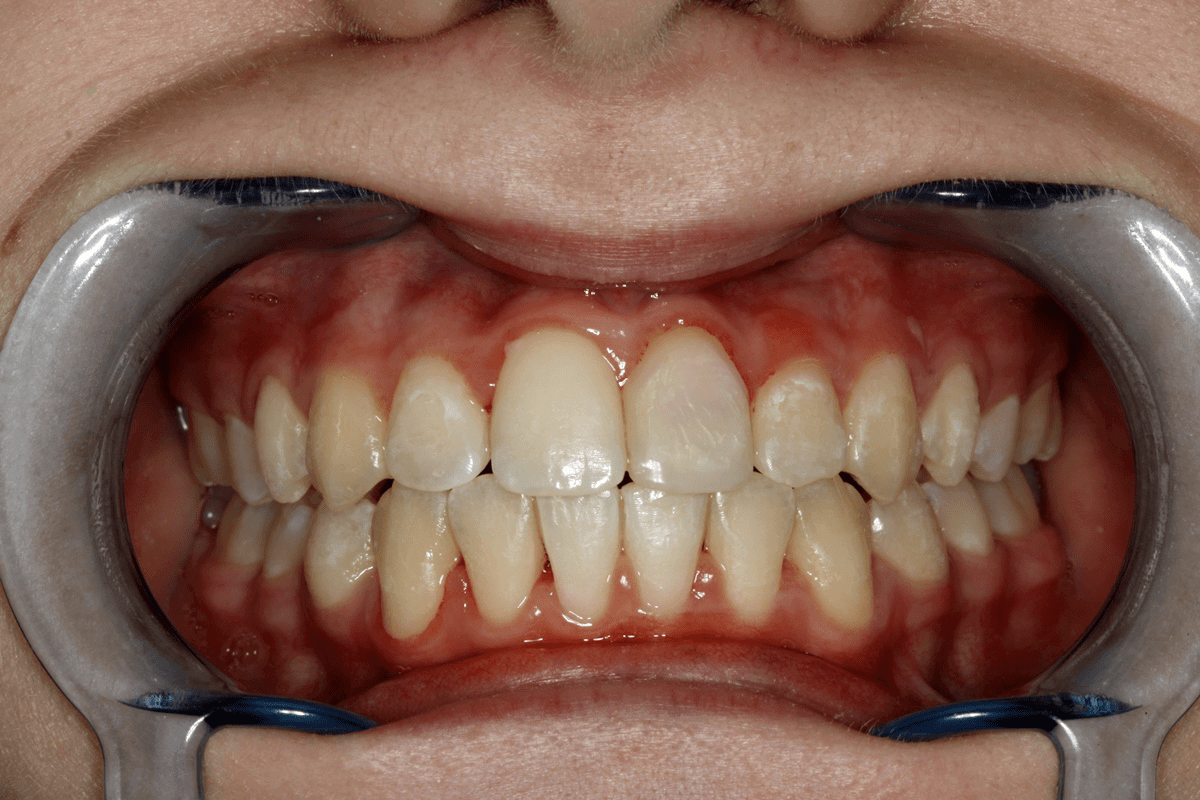
Dr. Opyakin Viktor fogszabályozó szakorvosunk páciense 14 éves volt, amikor először jelentkezett rendelőnkben a számfeletti kis metszőfogának problémájával. Ahogy a fényképeken is látszik, a kórképhez kisebb fogazati torlódás is társult.
A kis páciens kezelését rögzített készülékkel terveztük, és 22-24 hónapban állapítottuk meg a lehetséges kezelési időt. A képeken is látható, hogy a két kismetsző egymás fedésében nagyon közel tört elő. Szerencsére a CT-felvételen azt mutatta, hogy a két fog között nincs fizikai kapcsolat, így elterelve egymástól eltávolíthatóvá vált a külső fog. Esetünkben nem volt különbség a két fog fejlettségét tekintve. Az extrakció után megtörténhetett a most már egyetlen jobb oldali kismetsző beszabályozása.
A számfeletti fog (hyperdontia) korántsem olyan ritka eset, mint gondolná: az emberek 2-5%-át érinti, és a tejfogaknál ugyanúgy előfordul, mint a maradó fogaknál.
A jobb oldali kismetszők beszabályozásához esedékessé vált az alsó fogszabályzó készülék ragasztása is. A harapás beállítását követően a készüléket eltávolítottuk. Mind a felső, mind az alsó fogsor szépen „kisimult”, a harapás tökéletes, a kismetszők a helyükön vannak.
Tinipáciensünk most már csak az éjszakai helybentartó sínt viseli, amelyet lassan el is fog hagyni. Sok páciensünknek a helybentartó sínre már nem marad elég türelme, és hajlamos megfeledkezni a használatáról. Pedig ezzel tönkreteheti több év munkáját! Az állkapocs csontállományában lassan zajlanak le azok a változások, amelyek a fog új helyzetének rögzüléséhez szükségesek.
A fogszabályozó szakember pontosan fel tudja mérni, mennyi idő kell ahhoz, hogy a fogak új elrendezése véglegesüljön. Ön esetleg csak annyit lát, hogy fogai beálltak az új pozíciójukba, és nem érti, miért kell éjszakánként egy helybentartó sínnel aludnia. Ám ha nem tartja be kezelőorvosa utasításait, az könnyen semmissé teheti az eddigi kitartó munkát.


