Az ínyrecesszió vagy ínyvisszahúzódás és kezelése
Az ínyrecesszió, más néven ínyvisszahúzódás egy gyakori parodontológiai probléma. Nemcsak esztétikai szempontból gond, hanem a későbbiekben fogágybetegséghez és fogvesztéshez is vezethet. Mi okozza, mik a tünetei, és hogyan lehet kezelni? Cikkünkből megtudja!
Mi az ínyrecesszió?
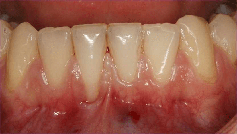
Kezdjük az alapokkal. A fogíny egy rugalmas, ellenálló hámmal borított kötőszövet, amely az állkapocs csontjait, illetve a fognyakat borítja. Egészséges állapotban halvány rózsaszín, és az egész fognyakat takarja. Az ínyrecesszió, más néven ínyvisszahúzódás azt jelenti, hogy a fogíny visszahúzódik a fognyakról.
Az ínyrecesszió tünetei
- Nagyobbnak, hosszabbnak tűnnek a fogak. Ez egy optikai csalódás, amit az okoz, hogy a fognyak is kilátszik
- Rések keletkeznek a fogak között
- Fognyaki érzékenység. A szabadon maradt fognyak érzékeny a hidegre, melegre, illetve az édes vagy savanyú ételekre
A legnagyobb probléma az, hogy az ínyvisszahúzódás gyakran nem fájdalmas. Azaz sok idő eltelhet, mire észleljük a problémát, és akkor lehet, hogy a folyamat már nem visszafordítható. Időben történő felismerésekor viszont, az esetek többségében a folyamat megállítható és helyreállítható.
Az ínyrecesszió okai
Az ínyvisszahúzódás mögött többféle ok állhat, ezek gyakran együtt vezetnek ínyrecesszióhoz:
- Örökletesen vékonyabb, érzékenyebb fogíny. Sajnos van, aki vékonyabb, kevésbé ellenálló fogínyt örököl a szüleitől, amely sérülés hatására könnyen visszahúzódik.
- Túl erősen, vagy nem megfelelő technikával végzett fogmosás. A fogorvosok által ajánlott módosított Bass-technika körkörös mozdulatainak köszönhetően kíméli a fogínyt. Aki azonban “sikál”, főleg, ha kemény, vagy médium keménységű fogkefével teszi, könnyen olyan mértékű irritációt okozhat, hogy az íny visszahúzódik. Ez sok esetben jellemző azokra, akik fogszabályzót viselnek, és a fogak felső részét így próbálják tisztán tartani. De az is gyakran előfordul, hogy valaki kifogástalan szájhigiénével rendelkezik, csak sajnos közben visszahúzódott az ínye…
- A nem időben eltávolítottfogkő és a benne található baktériumok ínygyulladást okoznak, mely szintén vezethet ínyrecesszióhoz.
- A rosszul felhelyezett ajak, vagy nyelv piercing folyamatosan irritálhatja a fogínyt, annak visszahúzódásához vezetve.
- Rendellenes helyzetű fogak. A kifelé álló fogaknál könnyen visszahúzódhat a fogíny.
- Okkluzális túlterhelés. Ha egy-egy fog túlterhelődik, például a nem megfelelően álló fogazat vagy a fogcsikorgatás miatt, akkor visszahúzódhat a fogíny.
Az ínyvisszahúzódás kezelése
Az ínyvisszahúzódás kezelése során először az okokat kell feltárnunk és kezelnünk:
Ha a nem megfelelő szájhigiéné a ludas, akkor szinte biztos, hogy egy fogkőeltávolítással kell indítani. Utána pedig a fogorvos vagy a dentálhigiénikus megtanítja a helyes fogmosási technikát.
A rossz technikával, túl erős sörtéjű fogkefével végzett fogmosás esetén szintén egy dentálhigiéniai tanácsadással indul a folyamat.
Ha piercing okozta irritáció áll a tünetek hátterében, ki kell venni a piercinget.
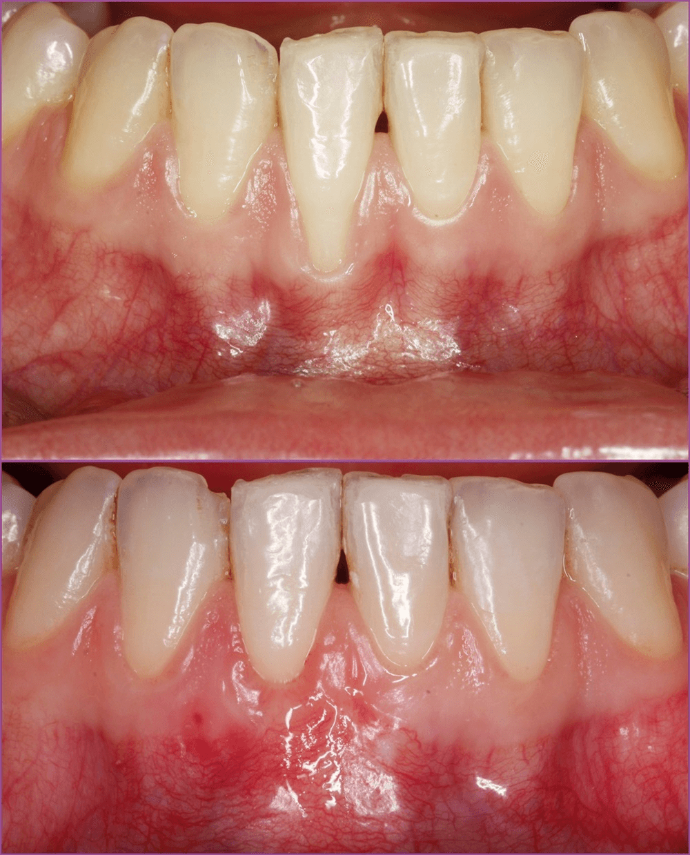
És most következzen a rossz hír. Az ínyrecesszió sajnos magától nem visszafordítható. Az íny nem fog “visszakúszni” a fognyakra a káros hatás megszünését követően. A megfelelő intézkedésekkel csupán megállíthatjuk a folyamatot.
Az egyedüli valódi kezelés az ínyplasztika. Az ínyplasztika egy olyan beavatkozás, amely során visszaműtjük az ínyt a fognyakra. Bár az eredeti állapotot visszaállítani nem mindig lehetséges, komoly javulást tudunk elérni.
Az ínyplasztika sajnos nem mindenható, és nem minden helyzetben lehet alkalmazni. A fogak közötti ínyszövet visszaállítására például nem alkalmas. A fogorvostudomány sajnos még nem tart ott, hogy a fogak körüli csontpusztulás miatt kialakulú, nagymértékű fogínyrecessziót kezelje, ezelben az esetekben nem tudjuk “visszanöveszteni” a fogínyt.
Miért fontos az ínyvisszahúzódás kezelése és a megelőzése?
Ezért is nagyon fontos a megelőzés. A fentiekből kitalálható, hogy a fogínyrecesszió megelőzése nem ördöngösség:
- Ügyeljünk a helyes technikájú, megfelelő erősségű sörtével végzett fogmosásra, illetve a fogköztisztításról se feledkezzünk meg
- Járjunk rendszeresen fogászati kontrollra, hogy időben kiderüljenek a problémák
- Kerüljük a dohányzást, és táplálkozzunk egészségesen
Kérjen időpontot fogorvosi vizsgálatra!




