Miért fontos a fogászati kontroll a láthatatlan tömések után?
A modern kompozit- vagy láthatatlan tömések
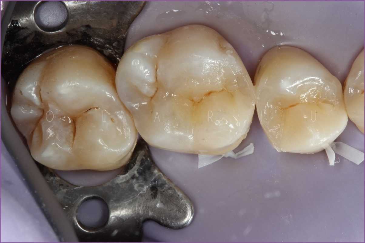
A láthatatlan vagy szuper élethű tömések önmagukban nagyon tartósak: mivel a tömés készítése során ügyeltek arra, hogy a fog eredeti anatómiáját maradéktalanul helyreállítsák, így a fog eleget tud tenni az eredeti funkcióknak. Ráadásul a modern kompozit- vagy láthatatlan fogtömések rendkívül esztétikusak is: ember legyen a talpán, aki meg tudja különböztetni a tömött fogat a saját ép fogaktól!
Kompozittömést olyankor is gyakran alkalmazunk, amikor a régi, elöregedett amalgámtöméseket kell kicserélni. Ilyenkor különösen látványos a fog megújulása!
Ám a sikerhez a páciens közreműködése is szükséges!
Helytelen vagy elhanyagolt fogápolással ugyanis a fogban elindulhatnak a szuvasodási folyamatok, a fog körüli íny pedig gyulladásba jöhet, tasakok képződhetnek, kialakulhat a fogágybetegség.
A fogápolás elhanyagolása rendkívül sebezhetővé teszi a fogat: a fogköztisztítás elmaradása azt jelenti, hogy a fogak egymással érintkező felületein képződő lepedékben megtelepednek az ínygyulladást okozó baktériumok. A szénhidrátokban, cukorban gazdag élelmiszer-maradékokon pedig a fogszuvasodást okozó baktériumok telepednek meg előszeretettel. Ha nem távolítjuk el rendszeresen fogainkról az ételmaradékokat, az előbb-utóbb szuvasodáshoz vezet.
A fogászati kontrollok jelentősége
A fogászati kontrollok alkalmával a fogszakorvos ellenőrzi a fogak állapotát, és felhívja a páciens figyelmét a megfelelő ápolásra. Ha már elindult a szuvasodás, ott helyben kezelésben részesítheti a pácienst, vagy megállapodhatnak egy kezelési időpontban.

