Mikor kerül sor fogszabályozásra?
Nem csak olyankor jöhet szóba a fogszabályozás, amikor szép egyenletes fogakra vágyunk. A teljesség igénye nélkül felsorolunk néhány esetet, amelyre a fogszabályozás jelenti a megoldást.
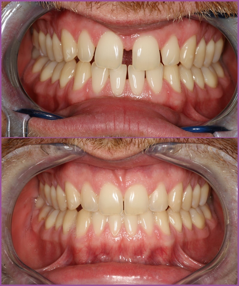
1, Aránytalanul nagy megterhelés éri a fogat
Egy laza, mozgó fogról kiderülhet, hogy azért mozog, mert túlságosan nagy megterhelés éri harapáskor. Ez akár egy kis csiszolással is helyrehozható, ám előfordulhat, hogy fogszabályozásra lesz szükség ahhoz, hogy a fog belesimuljon a fogsorba, és ne érje aránytalanul nagy terhelés.
2, Nincs hely a bölcsességfog számára
A csendben alvó bölcsességfogak kibújva összenyomhatják az addig szép rendben sorakozó fogakat. A megoldás többnyire a bölcsességfog eltávolítása és a fogsor „újrarendezése”, vagyis a fogszabályozás.
3, Nincs hely egy későn előtörő vagy számfeletti fog számára
Nem is olyan ritka az az eset, amikor valamelyik fog csak késő felnőttkorban bújik ki, és mivel addigra már rendeződött a fogsor, kénytelen a plusz fog valamilyen más utat találni magának. Számfeletti fogak pedig akár gyerekkorban vagy tinikorban is megjelenhetnek, és ezek is sok galibát okozhatnak.
Extrém esetben egy későn előtörő vagy számfeletti fog akár szájpadláson is kibújhat! Hihetetlen vagy sem, ezeket az elkóborolt vagy számfeletti fogakat fogszabályozással vissza lehet vinni a fogsorba.
4, Az alsó állkapocs fejlődésének támogatása
Gyerekeknél az alsó állkapocs lassú fejlődését támogatja a megfelelő fogszabályozás. Egy izgalmas esettanulmányt itt olvashat arról, hogyan zajlik egy hasonló kezelés.
5, Traumatikus sérülések után
Sajnos a balesetek csúnya sérüléseket okozhatnak, amelyeket különböző kezelésekkel, esetleg szájsebészeti műtétekkel lehet helyrehozni. Gyakran kerül sor fogszabályozásra is.
6, Fogágybetegség esetén a fogak stabilizálására
Fogágybetegségben szenvedő pácienseinknél bizonyos esetekben a fogak stabilizálására fogszabályozást alkalmazunk. Esettanulmányaink között találhat példát erre is.
Kérdése van a fogszabályozással kapcsolatban?
Kérdezze fogszabályozó szakértőnket online vagy egy konzultáció során.


