Préskerámia konzolhíd (Maryland híd) alkalmazása frontfog pótlására
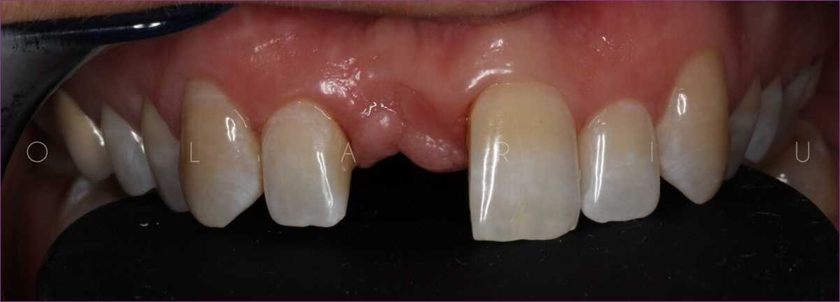
Fiatal hölgypáciensünk még évekkel ezelőtt, egy fiatalkori balesetben elvesztette a metszőfogát, és egy szép és tartós megoldás reményében kereste fel rendelőnket. Hiányzó frontfogát hosszú ideig a szomszédos fogakhoz rögzített „ideiglenes híd” pótolta. A frontfogak azonban túlságosan is szem előtt vannak, így a nem tökéletesen esztétikus megoldások zavarhatják az embert. Sokan még mosolyogni sem tudnak, ha nem elégedettek a frontfogaikkal!
Páciensünk is pontosan így volt ezzel: a frontfogakra mindenképpen valamilyen szuper esztétikus pótlást keresett, amely ráadásul tartósan meg is marad.
Hiányzó frontfogak esetében kézenfekvőnek tűnik egy műgyökér beültetése, amely a becsontosodás után csúcsminőségű felépítményt és koronát kap. A kezelőorvos az alapos vizsgálatokat és a 3 dimenziós CT-felvételek kiértékelését követően úgy döntött, hogy a nagy csonthiányra való tekintettel nem implantációt fog javasolni. Ehelyett a préskerámia konzolhíd (ún. Maryland híd) alkalmazását javasolta.
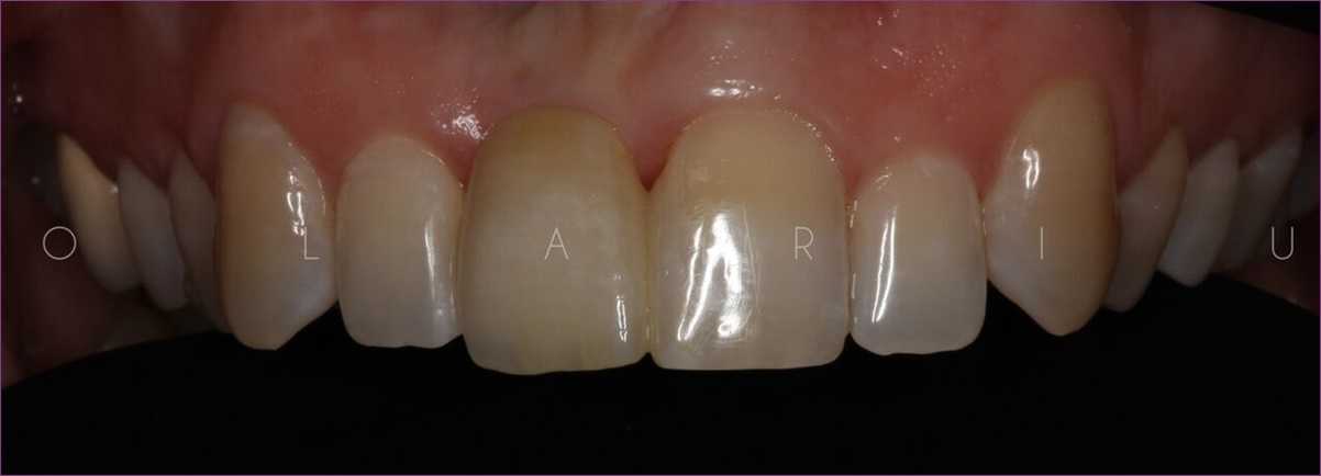
A préskerámia konzolhíd, avagy Maryland híd az eredeti pótláshoz hasonló, ám esztétikusabb és tartósabb fogászati híd.
A kezelés során előkészítettük a szomszédos fogakat arra, hogy a híd szárnyait hozzájuk lehessen rögzíteni. Ez az előkészítés valójában igen minimális beavatkozást jelentett: a régi ragasztóanyagot eltávolítottuk, valamint 0,2 mm-es vállat alakítottunk ki a pontos széli zárás érdekében a fogak szájpadlás felé eső részén. Ezután már a híd szárnyait a két szomszédos foghoz lehetett rögzíteni.
A végeredmény egy szép és tartós fogpótlás lett, amelyhez ráadásul minimális beavatkozást kellett végezni, és szinte semmilyen kellemetlenséggel sem járt.
Vagyis a kezelés teljes mértékben eleget tett a minimál invazív eljárások kritériumainak. Fogászatunkon igyekszünk minden kezelést ebben a szellemben végezni. Ez az eset jó példa arra, hogyan lehet minimális beavatkozással is magas szintű fogászati ellátást nyújtani.
A páciens rendkívül elégedett volt megújult mosolyával!



