Saverózió miatt károsodott frontfogak megújulása eMax-héjakkal
Egy fiatal férfipáciensünk azzal a panasszal érkezett a fogászatra, hogy metszőfogai a saverózió miatt csúnyán erodálódtak. A fiatalembert nemcsak fogai esztétikája zavarta, de attól tartott, ha ez így folytatódik, fogai komolyabb károsodást szenvedhetnek.
Ez a félelme nem volt alaptalan: a saverózió során ugyanis a fogzománc nagyon elvékonyodhat, extrém esetekben akár az egész fogzománc elpusztulhat. A saverózió kezelését tehát nem szerencsés sokáig halogatni!
De vajon mitől „koptak el” (valójában erodálódtak) így a fogak?
Dr. Sápi Bélát, az Uniklinik konzerváló fogászati specialistáját, a Semmelweis Egyetem volt klinikai oktatóját kérdeztük.
A fogzománc kopásának oka a saverózió. A saveróziót pedig leggyakrabban rossz táplálkozási szokásokra lehet visszavezetni: szénsavas üdítők(kóla), savas italok (limonádé), fehérbor stb. gyakori és nagy mennyiségű fogyasztása, citromszopogatás, sőt, a komoly mennyiségű gyümölcs- és zöldségfogyasztás is kiváltó ok lehet.
A regurgutáció révén létrejött saverózió a bulímia, anorexia, reflux kórképek kísérője. A regurgutációs eredetű saverózió érinti azokat a várandós hölgyeket is, akik a megváltozott hormonhatások miatt gyakran hánynak.
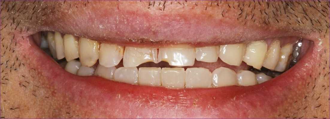
A saverózió okára hamarosan fény derült: páciensünk elmondta, hogy kedvenc itala a kóla, amelyből naponta több pohárral is megiszik.
A kóla fogyasztása savas kémhatást eredményez a szájüregben, a savas közegben lezajló kémiai folyamatok pedig erodálják, pusztítják a foganyagot.
A saverózió kezelése a kiváltó okra és a tünetekre egyaránt irányul
A saverózió általunk javasolt kezelése egyrészt az étkezési szokások megváltoztatására irányult, másrészt a károsodás helyreállítására.
Ami az elsőt illeti, megvitattuk páciensünkkel, milyen élelmiszerektől kellene tartózkodnia, illetve csökkentenie a fogyasztásuk mennyiségét vagy gyakoriságát, hogy a fogzománckopás veszélyét a jövőben elkerülje.
A fogkárosodás kezelésére a felső 4 metszőfogára vékony, ám tartós préskerámia, azaz eMax-héjakat javasoltunk. Az eMax lítium-diszilikát egy roppant erős kerámia, mivel készítése során rendkívül nagy erővel préselik össze. Ezenkívül esztétikai tulajdonságai is igen kedvezőek: fénytörése, struktúrája hasonlóvá teszi az emberi fogak anyagához. Az eMax-héjak, -koronák a fenti két tulajdonságuk miatt kedveltek a frontrégió kezeléseinél.
A felső nagy- és kismetszőkre így négy eMax-héj került.
Páciensünk változtatott étkezési szokásain
Páciensünk a kezelés óta minimálisra szorítja a megivott kólamennyiséget, és csínján bánik a fehérborral, citrommal, ecetes savanyúsággal, mert most már tudja, hogy a fogzománc kopását a savas élelmiszerek, italok által elindított saverózió okozza.
Ügyel arra, hogy a savas élelmiszerek fogyasztása után csak bő 30-60 perccel álljon neki a fogmosásnak, különben a savas közegben felpuhult fogzománcot könnyen felsértenék a fogkefe sörtéi.
Életmódbeli változtatásainak és a kezelésnek köszönhetően mosolya immár teljesen megújult!




