A szájüregi gyulladás típusai és kezelésük
A szájüregben elég nagy a „forgalom”. Rajta keresztül vezet a táplálék útja a nyelőcsövön át a gyomor felé. De a kilégzett, majd belégzett levegő jó része is a szájüregen keresztül halad át. A levegővel és a táplálékkal sok fertőző ágens bejut a szervezetbe. Ezenkívül meg kell említeni a szájüreg saját flóráját is. Az egészséges szájüregben ugyanis baktériumok és gombák is előfordulnak. Ezek a mikrobák normál esetben nem okoznak gyulladást.
Bizonyos esetekben – például legyengült immunrendszer esetén – a szájüreg lakói vagy a kívülről bejutott fertőző ágensek gyulladást válthatnak ki. Cikkünkben a szájüregi gyulladás leggyakoribb típusait és kezelésüket vesszük át.
1. Herpesz
A herpesz az egyik leggyakoribb szájüregi gyulladás. Általában a herpes simplex vírus 1-es típusa (HSV I) okozza, amelyet a lakosság 90%-a hordoz. Ritka esetben a nemi herpeszért felelős HSV II is kiválthatja. A herpes simplex vírus azonban a legtöbb esetben nem okoz gyulladást. Csak a hordozók kis százalékában aktiválódik. Ilyenkor fájdalmas, fertőző hólyagocskákat képez. Leggyakrabban az ajkakon, a szájüregben és az ínyen jelenik meg. Előfordulhat viszont a nyakon, az állon és a szemen is. Ezek a piros szélű fekélyek lassan, de szerencsére heg nélkül gyógyulnak. A fekélyek megjelenése mögött általában a legyengült immunrendszer áll. Sokszor ugyanazon a helyen jelennek meg újra. A fertőzés ritka esetekben elszabadulhat. Ilyenkor a hólyagocskák az egész szájüreget beboríthatják. A nyirokcsomók megduzzadnak, a beteg lázas lesz, elesettnek érzi magát.
A herpesz kezelése
A herpesz általában magától elmúlik, így nem igényel orvosi beavatkozást. Erre csak akkor van szükség, ha a fertőzés elhatalmasodik, vagy másfél hónaposnál fiatalabb csecsemő kapja el. A herpesz jól reagál az antivirális készítményekre, kenőcsökre.
2. Afta
Az afta egy fájdalmas, fekélyszerű elváltozás, hámhiány a szájüregben. Gyulladásos udvar veszi körül, és szürkés, fehéres vagy sárgás ún. álhártya fedi. Mit jelent az, hogy álhártya? Azt, hogy az afta nem valódi hólyag, csak annak látszik. Az afta okai nem annyira egyértelműek, mint a herpeszé. Inkább hajlamosító tényezőkről, kockázati faktorokról beszélhetünk. Ilyen például a gyenge immunrendszer, a szájnyálka sérülése és a rossz szájhigiénia. Bizonyos ételek, illetve genetikai tényezők szintén állhatnak a hátterében.
A herpesz és az afta elkülönítése
Az afta és a herpesz első látásra nagyon hasonlít egymásra. Könnyű összetéveszteni őket, de van pár lényeges eltérés közöttük. A legfőbb különbség, hogy a herpesz igazi hólyagocskákat képez. Az aftát ezzel szemben egy világos, hólyagnak tűnő felület borítja. Ujjal megtapintva, ha kidudorodó felületet észlelünk, az valószínűleg herpesz, ha nem, akkor aftánk van. A másik fontos különbség, hogy a herpeszt nem veszi körül piros gyulladásos udvar (egy piros gyűrű), míg az aftát igen.
Az afta típusai
Az aftának három típusát különíthetjük el.
-
Mikulicz-féle afta: a leggyakoribb típus. Általában 2-3 mm, de 10 mm-nél sosem nagyobb. Jellemzően egyesével jelenik meg.
-
Cooke-féle afta: apró, 1 mm-es afták, általában több egymás mellett. Hasonlít a herpeszre.
-
Sutton-féle afta: óriásaftának is nevezik. 2-3 cm-es, és a mélyebben fekvő szöveteket is érinti. Lassabban gyógyul.
Emellett vannak olyan afták is, amelyek valamilyen szisztémás elváltozás miatt alakulnak ki.
Az afta kezelése
Az afta általában 7-10 nap alatt elmúlik. Csak tüneti kezelése lehetséges, azaz a fájdalmat csökkenthetjük, de a gyógyulási folyamatot nem tudjuk gyorsítani. Amennyiben a fog- vagy fogpótlásszélek sebezték fel a szájüreget, keressünk fel fogorvosunkat! Ez esetben a hosszú távú problémák megelőzéséhez beavatkozásra van szükség.
A 2 hétnél tovább fennálló fekély esetén a fogorvosát mindenképpen fel kell keresni!
Bővebben az afta kezeléséről itt olvashat: https://www.uniklinik.hu/eletm…
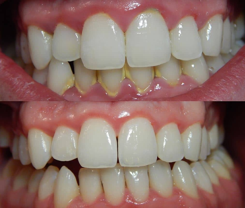
3. Fogínygyulladás
A világ 6. leggyakoribb betegsége, nevezik még gingvitisznek is. A fogínygyulladás veszélyes betegség. Kezeletlenül fogágybetegséghez (parodontitiszhez), végül pedig fogvesztéshez vezethet. A betegség lefolyása a fogakon megtapadó baktériumokat tartalmazó lepedékkel indul. Az első tünetek a fogíny gyakori vérzése, pirossága. Bizonyos esetekben a hosszabb ideje jelen lévő bakteriális lepedék az íny alatti szöveteket is elkezdi károsítani. Így képződnek az ínytasakok. Ezután pedig a fogágy csontszövetei is begyulladhatnak, károsodhatnak. A gyulladás egyre nagyobb léptéket ölt, végül szinte teljesen elpusztul a csontszövet, a fogak mozogni kezdenek, majd kiesnek.
A fogínygyulladás kezelése
Első körben szót ejtenénk a megelőzésről. A napi kétszeri, helyes technikával végzett fogmosás és fogköztisztítás megakadályozza a fogkőképződést. Ezzel megelőzhetjük a fogínygyulladást is. Ha viszont már kialakult a fogínygyulladás, mindenképpen fogorvoshoz kell fordulni! A jó hír az, hogy a betegség megállítható. Ha időben megállítjuk, később nem okoz problémát. Az elpusztult csontszöveteket viszont sajnos már nem lehet visszaállítani.
Az első stádiumban az ultrahangos fogkőeltávolítás is elég lehet. Ha már kialakultak az ínytasakok, komolyabb beavatkozásra van szükség, ezek ugyanis se fogkefével, se szájvízzel nem tisztíthatók. Erre csak az ún. zárt kürettálás, illetve végső esetben a parodontális műtétek jelentenek megoldást. Bármilyen kezelésnek alapvető részét képezi a megfelelő fogmosási szokások kialakítása. Ezek hiányában hiába kezeltük a betegséget, a probléma újból jelentkezni fog.
4. Szájnyálkahártya-gyulladás
A szájnyálkahártya-gyulladás, más néven sztomatitisz során a szájüreg nyálkahártyaján fekély alakul ki. Leggyakoribb oka a vírusfertőzés, de számos kiváltó oka lehet. Okozhatja bakteriális fertőzés, vagy a szájüreg gombáinak (Candida albicans) elszaporodása. Ez utóbbi típusa szürkésfehér, könnyen letörölhető lepedékkel hívja fel magára a figyelmet. De meg kell említeni a különféle vegyszerek, illetve gyógyszerek kiváltotta fekélyeket is. Hajlamosító tényező lehet még a kemoterápia, a sugárkezelés és a különféle krónikus betegségek is. A sztomatitisz leggyakoribb tünetei a hám gyulladásos elváltozásain túl a következők: a nyirokcsomók duzzanata, az ízlelés zavara és a láz.
A sztomatitisz kezelése
A sztomatitisz kezelésénél az első lépés a kiváltó ok feltárása. A Candida albicans-fertőzés esetén pl. gombaellenes ecsetelők alkalmazása javallott. Bakteriális fertőzés esetén az antibiotikum-kúra, vírusfertőzés esetén antivirális készítmények jelentetik a megoldást.




