Esettanulmányok

Vissza a többi tanulmányhoz /

A frontfogak rehabilitációja

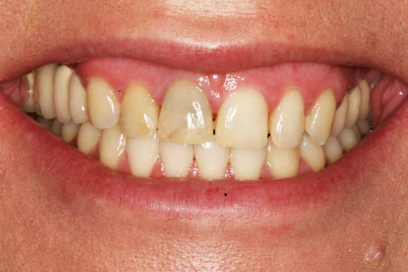
Fiatal nőpáciensünk kedvezőtlen esztétikájú frontfogainak rehabilitációja fémmentes cirkonkoronák segítségével történt.

1

Jól megfigyelhető, milyen kedvezőtlen a frontfogak állapota a gyökérkezelések és régi tömések miatt.

 gyökérkezelések és régi tömések utáni frontfogak kedvezőtlen állapota
2

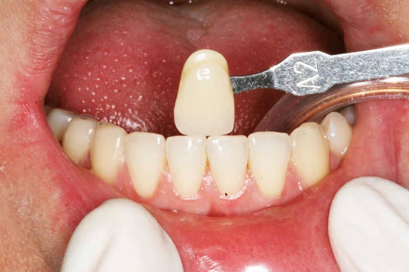
Körültekintő fogszínválasztás az ép alsó fogak segítségével

Fogszínválasztás az ép alsó fogak segítségével
3

A cirkonkoronáknak köszönhető, lenyűgözően esztétikus végeredmény

A cirkon koronáknak köszönhető esztétikus végeredmény.

Kapcsolódó kezelések