Esettanulmányok

Vissza a többi tanulmányhoz /

A láthatatlan tömés

Régi, nagy kiterjedésű amalgámtömések cseréjét végeztük el a páciens számára, mert ilyen esetekben a hosszú évek során az amalgámtömés ékként viselkedik, és repedések alakulnak ki a fog anyagában, ami növeli a törésveszély kockázatát. A fogakat teljes izolációban (kofferdam), kompozit tömőanyagból, rétegzési technikával és egyedi festéssel készítettük el. 

1

A régi amalgámtömések

Amalgám tömés előtte
2

Az előkészített fogak. A kofferdamizolációra azért van szükség, mert a modern kompozittömések rendkívül érzékenyek a nedvességre.

Amalgám tömés nélkül
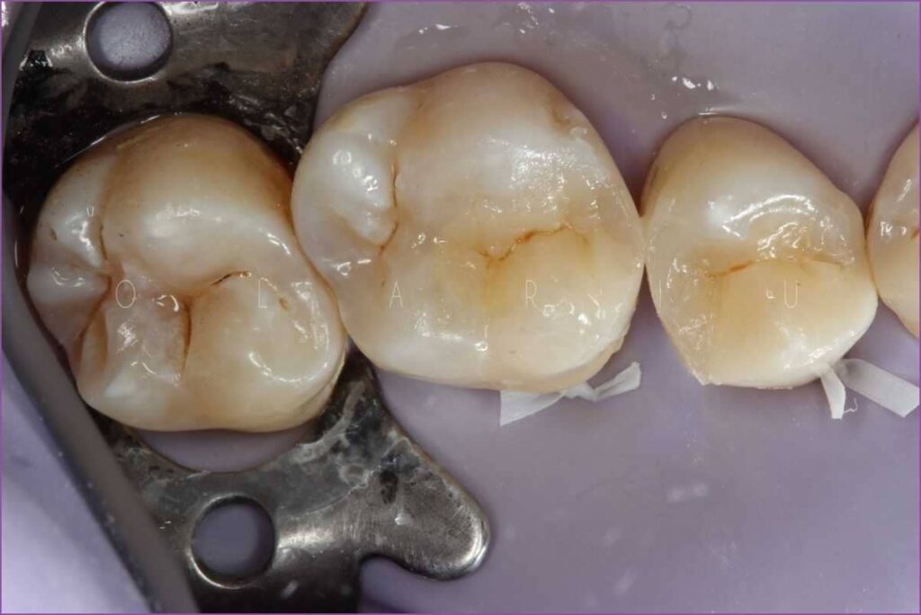
3

Az anatomikus felépítésnek köszönhetően a fog eredeti funkciója maradéktalanul helyreállítható. A kompozit tömőanyag mechanikai tulajdonságai, illetve az, hogy kémiailag köt a foganyaghoz, megbízható és tartós eredményt ad. A páciensek azonban talán legjobban annak örülnek, hogy a láthatatlan tömés gyakorlatilag felfedezhetetlen - még az avatott szemnek is.

Amalgám tömés utána