A láthatatlan fogtömés
Ma már az esztétikai követelmények is magasak
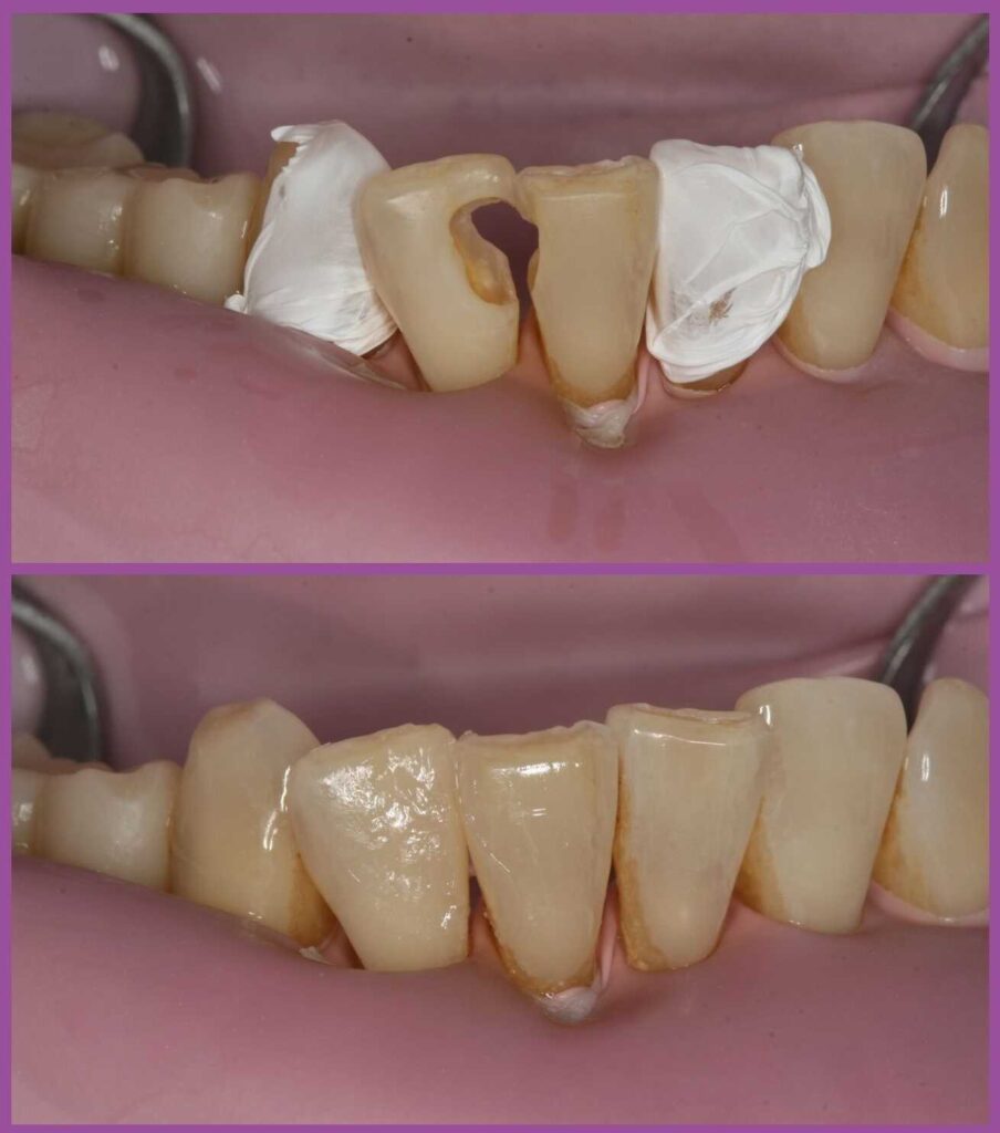
A mai modern fogászat fő célkitűzései a fájdalommentesség, a tartós végeredmény, a minimál invazív kezelések és végül, de nem utolsósorban az esztétikai szemlélet. Kis túlzással azt mondhatjuk, hogy 100 évvel ezelőtt még az volt a páciensek legfőbb kívánsága, hogy a kezelések ne fájjanak, 20-30 évvel ezelőtt az, hogy a kezelés eredménye sokáig tartson, ma pedig már azt is elvárják a páciensek, hogy emellett szép is legyen. Egy fogtömés esetében tehát nemcsak az a fontos, hogy jó minőségű és tartós legyen, hanem az is, hogy ne csúfítsa el a fogat, mint a képen is látható amalgámtömések.

Ehelyett legyen visszafogott és a fogsorba belesimuló, ne hívja fel magára a figyelmet, valahányszor a páciens egy nagyot nevet.
A modern kompozittömések valóban láthatatlanok
A modern kompozittömés, amelyet a páciensek gyakran csak láthatatlan fogtömésként emlegetnek, olyan szépen belesimul a fogba, hogy még a szakértő szemnek is nehézséget okoz a felfedezése. A láthatatlan fogtömés azért „tűnik el”, mert a fogorvos a tömés során helyreállítja a fog anatómiáját.
A modern kompozittöméseket úgy építjük fel, hogy az kövesse a fog szerkezetét és eredeti formáját. A tömés színét természetesen a páciens fogszínéhez igazítjuk, így a végeredmény pontosan olyan lesz, mint az eredeti saját fog. Mivel a fog funkcionalitása a visszanyert eredeti anatómiával szépen helyrehozható, az eredmény tartósabb, mint a korábbi eljárásoké.
Ha összeveti a fenti képet az amalgámtöméseket felmutató fotóval, akkor két megdöbbentő felfedezést tehet. Az egyik az, hogy mind a két képen ugyanaz a fogsorrészlet látható. A másik, hogy mennyire „eltűntek” a tömések a második képen. Valóban, a modern kompozittömések esztétikai összhatása lenyűgöző!

