Esettanulmányok

Vissza a többi tanulmányhoz /

Egy letört fog újjászületése

Csinos nőpáciensünk azzal a panasszal érkezett fogászatunkra, hogy egyik fogából letörött egy darab.

1

Dr. Holló Ádám, a rögzített és kombinált fogpótlások specialistája egy szájüregi vizsgálat után igazolta ezt a tényt, valamint azt, hogy a fogban levő gyökértömés inkomplett.

 szájüregi vizsgálat
2

A jobb első nagyőrlőről készült röntgenkép alapján a hölgyet először Dr. Molnár Katalin gyökérkezelés-szakértőnkhöz irányította.

 röntgen alapján gyökér kezelni kellett a fogat
3

Kolléganőnk kicserélte a gyökértömést, ezen a röntgenfelvételen a kezelés utáni állapot látszik.

 gyökértömés csere utáni állapot
4

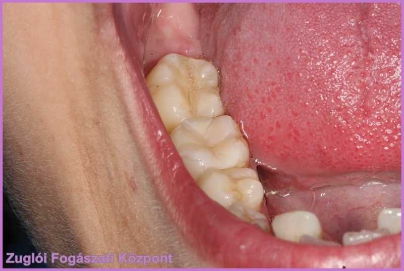
Ezután a hölgypáciens visszakerült Dr. Holló Ádámhoz, aki a hiányzó fogdarab kiterjedése miatt esztétikus kompozit (Gradia) inlay-t javasolt. A törött fogról lenyomatot vett, ez alapján a fogtechnikai laborban elkészült az inlay (betét), amelynek színét a páciens fogaihoz igazították. Íme, a szépen helyreállított fog!

 gradia inlay készült a törött foghoz.