Esettanulmányok

Vissza a többi tanulmányhoz /

Esztétikailag kedvezőtlen fogak rehabilitációja cirkonkoronákkal

Fiatal hölgypáciensünket nagyon zavarta a felső bal oldali frontfogainak állapota, és azt kérte tőlünk, hogy találjunk erre valamilyen megoldást. Az esztétikailag kedvezőtlen fogak rehabilitációja cikronkoronákkal történt.

1

A felső bal oldali frontfogak esztétikája valóban nem mondható ideálisnak.

A felső bal oldali frontfogak esztétikája valóban nem mondható ideálisnak.
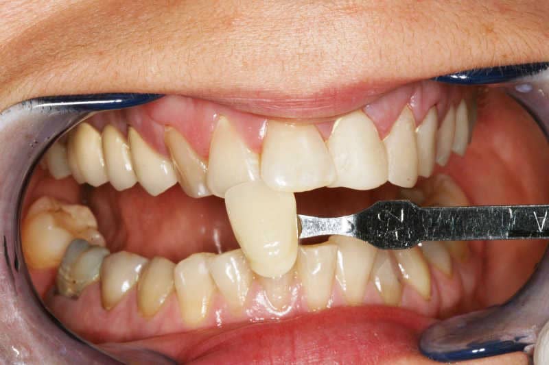
2

A fogszín kiválasztása a végleges koronákhoz. A bal oldalon már a csiszolás utáni állapot látható, ideiglenes koronákkal.

A bal oldalon már a csiszolás utáni állapot látható,
3

Az elkészült cirkonkoronák a gipszmodellen

Az elkészült cirkonkoronák a gipszmodellen.
4

Páciensünk elégedett volt a végeredménnyel. Érdemes megfigyelni, hogy a fogtechnikus még az eredeti (és a másik oldali ép fogakon jelenleg is meglevő) fehér foltokat is megjelenítette a kerámia felületén. Ami beszéd és nevetés közben látszik, arról még egy fogorvos sem tudná megmondani, hogy nem eredeti, hanem kerámia.

 páciensünk elégedett volt a végeredménnyel.