Esettanulmányok

Vissza a többi tanulmányhoz /

Esztétikus tömés, direkthéj-technika

Esztétikus tömés, direkthéj-technika

1

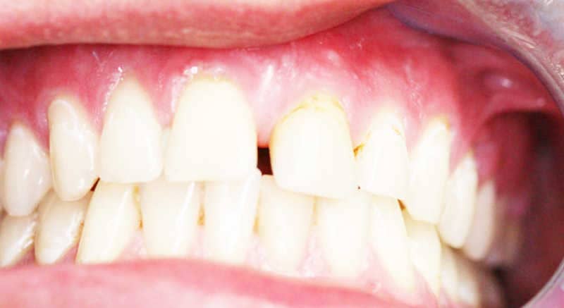
Jól látható a páciens elülső fogain az elszíneződött zománc és a két nagymetsző közötti hézag- diasthema.

 jól látható a páciens elülső fogain az elszíneződött zománc és a két nagymetsző közötti hézag diasthema.
2

Ebből a szögből nézve az is jól kirajzolódik, hogy a jobb felső nagymetsző jelentősen előrefelé dől a bal felső nagymetszőhöz képest.

Ebből a szögből nézve az is jól kirajzolódik, hogy a jobb felső nagymetsző jelentősen előrefelé dől a bal felső nagymetszőhöz képest.
3

Szemből fotózva az újjávarázsolt mosoly. Az elszíneződések és a hézag immár teljesen megszűntek.

 szemből fotózva az újjávarázsolt mosoly.
4

Oldalról fotózva az új mosoly. A fogak egy síkba kerültek

 oldalról fotózva az új mosoly.