Esettanulmányok

Vissza a többi tanulmányhoz /

Fémmentes cirkonkorona

A középkorú férfipáciens bal felső nagymetszőjének leplezése egyéni szín- és formameghatározással, fémmentes cirkonkoronával készült.

1

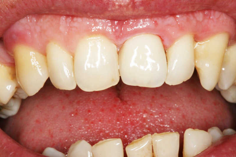
A sérült és emiatt lecsiszolt bal felső nagymetsző

 sérült és emiatt lecsiszolt felső nagymetsző
2

Az elkészült cirkon-dioxid korona a gipszmintán

Az elkészült cirkon dioxid korona gipszmintán
3

Az esztétikus végeredmény a szájban

Az esztétikus végeredmény a szájban

Kapcsolódó kezelések