Esettanulmányok

Vissza a többi tanulmányhoz /

Fogszínű fogkő

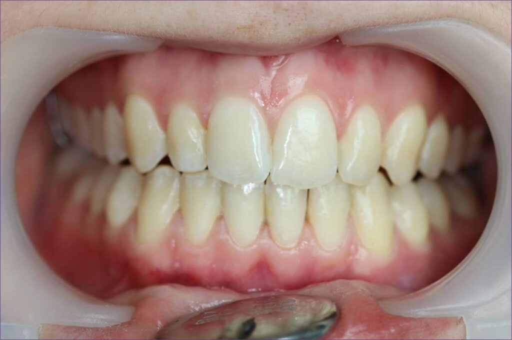
A fogkő számos fogászati betegség kiindulópontja, ezért érdemes rendszeresen felkeresni a rendelőt, hogy fogainkat megszabadítsuk a rárakódott fogkőtől és egyéb szennyeződéstől. A fogkő nem mindig szembetűnő, szürkés-barnás elszíneződésekben jelentkezik: sokszor szinte beleolvad a fogsorba (mint esetünkben is) – ám ettől nem kevésbé káros. Ezért félévente, évente akkor is tanácsos elmenni egy fogászati ellenőrzésre, ha nem látunk fogkövet a fogainkon! 


http://aicec.org/

1

Páciensünk fogain a fogkő szinte láthatatlanul megbújik a fogakon és a fogak között. A fogkő olyan, mint egy baktériumtanya. Számtalan ártalmas baktériumfajta nyüzsög benne, köztük olyanok, amelyek képesek megbetegíteni az ínyt, vagy éppen a fogszuvasodásért felelősek. Ezért a fogkő rendszeres eltávolítása mindenképpen fontos. Akinek ilyen "láthatatlan" típusú fogköve van, félévente, évente akkor is mutassa meg fogait egy szakembernek (dentálhigiénikusnak), ha ő maga nem lát fogkövet a fogain!

Fogkő3 fogkőleszedés előtt
2

Az alapos depurálás és polírozás után a fogak szép tisztává és fogkőmentessé válnak.

Fogkő3 fogkőleszedés után
3

Nem tűnik olyan nagynak a különbség? Íme, a fogköztisztító-próba! A kezelés előtti képen jól látszik, hogy az alsó-felső metszőfogak között gyakorlatilag nincs rés: ezeket fogkő tömítette el. Ám a fogkő eltávolítása után a fogköztisztító kefe könnyedén átbújik a fogak között: immár semmi sem áll az útjába!

Fogkő3 fogköztisztító próba