Esettanulmányok

Vissza a többi tanulmányhoz /

Jobb felső kisőrlők pótlása NobelActive implantátumokkal

Külföldön élő, a legszebb férfikorban levő páciensünk a jobb felső első és második kisőrlő (4-es, 5-ös) fogát szerette volna pótoltatni. Ugyanakkor a szomszédos saját fogat és a régebbi hídpótlást kímélni szerette volna. A jobb felső kisőrlők pótlása NobelActive implantátumokkal történt.

1

Két db NobelActive implantátum beültetése után 4 hónappal két db titán protetikai („koronatartó”) fej látható az ínyből kiemelkedve.

 két db titán protetikai („koronatartó”) fej látható az ínyből kiemelkedve.
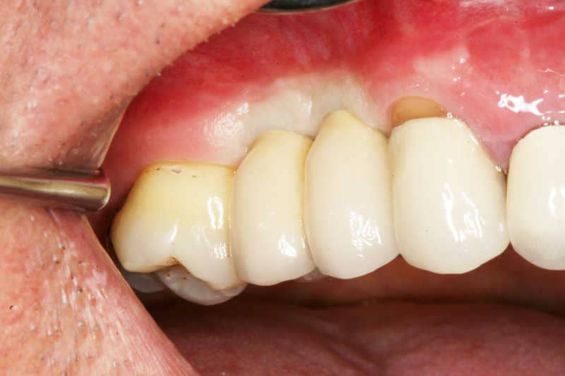
2

A berögzített aranyra égetett kerámialeplezésű koronák. Fontos megjegyezni, hogy a friss kezelést követően 1-2 órára az íny elszíneződik.

A berögzített aranyra égetett kerámialeplezésű koronák.