Esettanulmányok

Vissza a többi tanulmányhoz /

Miért ajánljuk a fémmentes (cirkónium) koronákat? (1. eset)

Miért ajánljuk a fémmentes (cirkónium) koronákat? (1. eset)

1

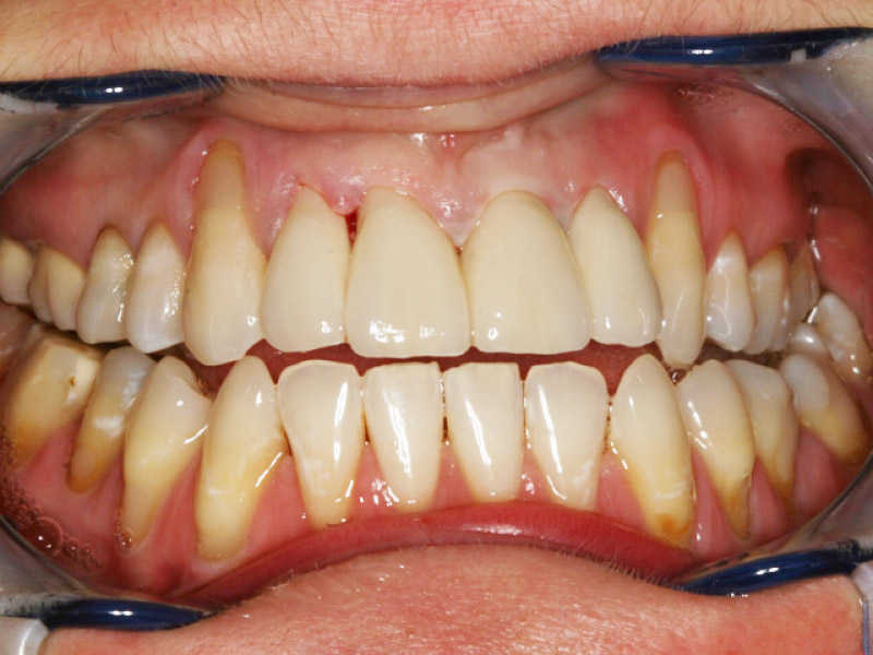
A régi fémkerámia (hagyományos koronák)

A régi fémkerámia (hagyományos koronák)
2

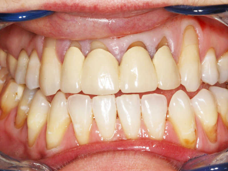
Az új fémmentes (cirkónium) koronák

Az új fémmentes (cirkónium) koronák

Kapcsolódó kezelések