Esettanulmányok

Vissza a többi tanulmányhoz /

Öntött kapoccsal elhorgonyzott, részleges lemezes fogpótlás

Ez egy olyan típusú fogpótlás, amely a megmaradt fogakhoz fém (kobalt-króm) kapcsokkal van elhorgonyozva

Legnagyobb előnye, hogy a pótlás elkészítéséhez nincs szükség a természetes fogak csiszolására. Ennek ellenére azokra a fogakra, melyekre a kivehető pótlás kapcsolódik, a jobb stabilitás érdekében, illetve azért, hogy hosszú távon megfelelően funkcionáljon, sokszor kapocstartó koronákat javaslunk.  

Mivel ez a pótlásfajta nem tartalmaz speciális, finommechanikai eszközöket, elkészítése gyorsabb és természetesen költségkímélőbb is. 

Hátránya egyrészt az, hogy a hiányt határoló fogakat nagymértékben megterheli, hosszú távon stabilitásuk és ezzel együtt a pótlás stabilitása is csökkenhet, és az előnytelen fémkapcsok látványát sem sokan szeretik.

1

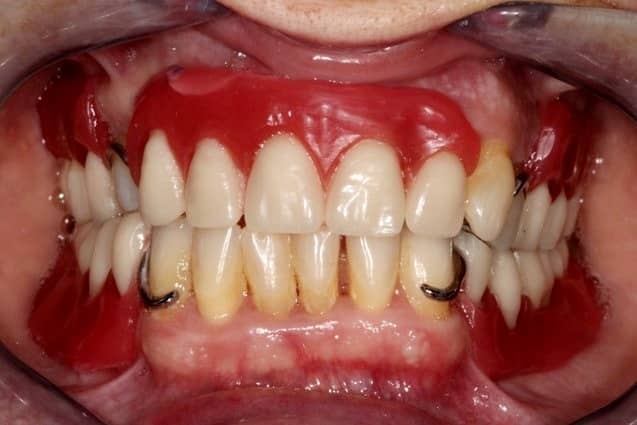
Hölgypáciensünk azzal a panasszal érkezett dr. Sápi Béla kollégánkhoz, hogy pár hónapja több fogát is el kellett távolítani, és azóta sem funkcionálisan, sem esztétikailag nincs kibékülve fogai állapotával.

 kapcsos részleges lemezes fogpótlás előtt
2

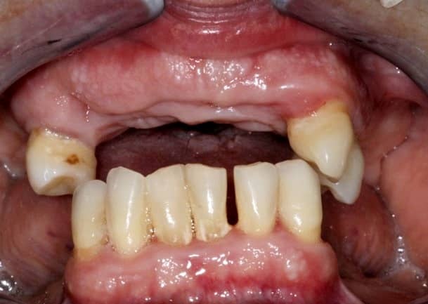
A vizsgálatok és röntgenfelvételek birtokában megbeszéltük, milyen lehetőségek jöhetnek szóba. A páciens az implantációt anyagilag nem tudta vállalni, illetve a megmaradt természetes fogait nem szerette volna bármilyen egyéb pótláshoz lecsiszoltatni, így végül az öntött kapcsos, kivehető pótlás mellett döntöttünk.

 kapcsos részleges lemezes fogpótlás röntgenfelvétel
3

Egy alapos depurálás után mintát vettünk a fogsorról, megtörtént a harapási forma meghatározása és rögzítése. A laborban elkészített próbafogsorral ellenőriztük, hogy a funkciót és az esztétikai követelményeket tekintve is minden megfelelő-e a páciens számára. Miután mindkét fél elégedett volt a próbával, a labortól kértük a fogpótlás véglegesítését.

 kapcsos részleges lemezes fogpótlás fogpróba
4

A felső állcsontra készült fogpótlásnál remekül látszik, hogy a maradó fogaknál több helyet foglal el a kivehető pótlás, és a szájpadlás egy részét is beborítja a funkcionalitáshoz nélkülözhetetlen fémlemez.

 kapcsos részleges lemezes fogpótlás felső
5

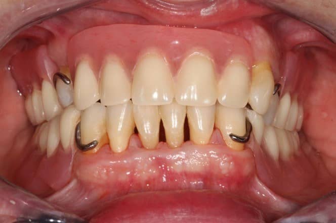
Az alsó állcsontra készült fogpótlásnál jól megfigyelhetők az öntött kapcsok.

Apcsos részleges lemezes fogpótlás alsó
6

Ezek az öntött kapcsok a pótlás viselésekor sajnos nem túl esztétikusak, ám van, amikor eme hátrány ellenére is ez a fogpótlás jelenti a megoldást. Páciensünk mindenesetre maradéktalanul elégedett volt megújult mosolyával!

Kapcsos részleges lemezes fogpótlás után