Esettanulmányok

Vissza a többi tanulmányhoz /

Sérült felső két nagymetsző korrigálása

Az USA-ban élő fiatal férfipáciensünk sérült felső két nagymetszőjét korrigáltuk cirkon-dioxid fémmentes esztétikus koronákkal.

1

Kiindulási állapot a letöredezett nagymetszőkkel

 kiindulási állapot a letöredezett nagymetszőkkel
2

Lenyomatvétel előtt a lecsiszolt fogak

 lenyomatvétel előtt a lecsiszolt fogak
3

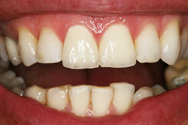
Az esztétikus végeredmény cirkonkoronákkal

Az esztétikus végeredmény cirkonkoronákkal

Kapcsolódó kezelések