Esettanulmányok

Vissza a többi tanulmányhoz /

Teljes szájrehabilitáció implantátumokkal és fémkerámia koronákkal

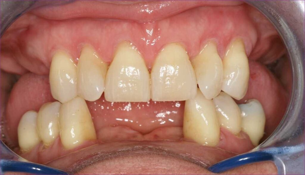
Nőpáciensünk arra panaszkodott, hogy meglévő fogai mozognak, rendszeresen vérzik az ínye, és kellemetlen szagú a lehelete. A szájvizsgálat és a panoráma-röntgenfelvétel alapján egyértelművé vált, hogy panaszok hátterében előrehaladott fogágybetegség áll. A teljes szájrehabilitáció implantátumokkal és fémkerámia koronákkal történt, valamint a pácienst egy dentálhigiénikus kolléganőnk ismertette meg a gyulladásmentes állapot fenntartását célzó fogápolási technikával.

1

A kezelési terv készítése során fontos szempont volt, hogy a páciens ne maradjon fog nélkül. A menthetetlen fogak eltávolítását megelőzően ideiglenes fogpótlásokat készítettünk a fogtechnikai labor segítségével, amit a foghúzásokat követően egyből meg is kapott a páciens.

 teljes szájrehabilitáció előtt
2

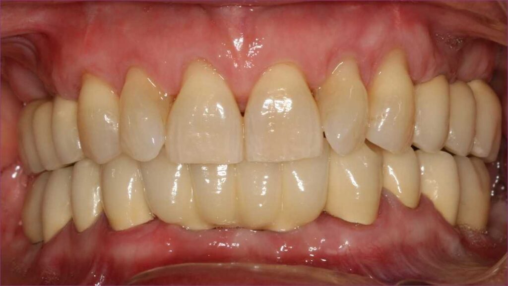
Miután sikerült a fogágy pusztulását megállítani és ezt az állapotot stabilizálni, megtörtént a foghiányok végleges pótlása implantátumok és fémkerámia fogpótlások segítségével. Ezalatt a pácienssel és dentálhigiénikus kolléganővel közösen kialakítottunk egy olyan fogmosási rutint, amellyel a hölgy fenn tudja tartani a gyulladásmentes állapotot. Felhívtuk a figyelmét arra, hogy fogágybetegségéből adódóan 3 havonta - félévente javasolt kontrollvizsgálatra járnia, hogy az új fogpótlásai időtállóak legyenek, és a betegség ne újuljon ki. Páciensünk megfogadta tanácsunkat, és azóta is rendszeresen megjelenik az ellenőrző vizsgálatokon.

 teljes szájrehabilitáció után