Esettanulmányok

Vissza a többi tanulmányhoz /

Üvegszálas csappal megerősített fogpótlás

Pótlások készítése előtt a gyökérkezelt fogakat azok törékenysége miatt szinte minden esetben csapokkal látjuk el. Ezzel megnöveljük az ellenálló képességüket, szilárdságukat, csökkentjük az esetleges fogtörések kockázatát. Dr. Sápi Béla páciensének letört frontfoga is üvegszálas csapot kapott a kezelés során.

1

Dr. Sápi Béla páciensének letört fogának megerősítése előre gyártott üvegszálas csapokkal és kompozit csonkkiegészítésekkel történt.

 üvegszálas csappal megerősített fogpótlás előtte
2

Az üvegszálas csapok előnye, hogy lenyomatvételezés nélkül, egy ülésben behelyezhetők, esztétikusak, fogszínűek és rugalmassági együtthatójuk közelebb áll a fogéhoz, mint az öntött csapoké, így kevésbé van repesztő hatásuk a foggyökerekre nézve.

Fogpótlást erősítő csapok
3

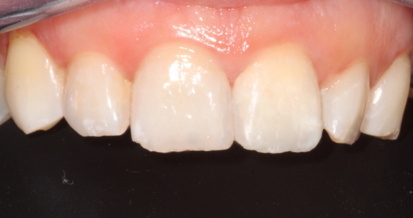
A fracturált (letört) fogat a gyökértömés után üvegszálas csappal és kompozit felépítéssel látta el a kezelőorvos.

 metszőfog csapokkal
4

Páciensünk az elkészült pótlással minden szempontból meg volt elégedve!

 üvegszálas csappal megerősített fogpótlás készen