Ha egyik foga szuvasodni kezd, és a károsodás már eléri a dentint, a lehető leghamarabb fogtömésre lesz szüksége, hogy megakadályozzuk a fog további romlását. Milyen tömésfajtákat ismerünk, és mi az az esztétikus fogtömés? Blogposztunkban kitérünk a láthatatlan fogtömés előnyeire, és leírjuk a kezelés menetét is.
Az esztétikus tömés és a fogtömések fajtái
A tömések anyagát illetően többféle lehetőség közül lehet választani.
Amalgám
Sokáig az amalgám volt a leggyakrabban használt tömőanyag, és a világ számos részén még mindig széles körben használják is, mivel nagyon tartós. Az amalgámtömés elkészítése ráadásul viszonylag egyszerű, mivel a fogorvosnak nem kell aggódnia a fog tisztán és szárazon tartása miatt a beépítés során, emellett az áruk is alacsonyabb a többi felhasznált anyaghoz képest.
Népszerűségük azonban az utóbbi években jelentősen csökkent, mivel színük fémes, szürke, így látványuk a szájüregben nem természetes. Az amalgámtömések többfajta fémet és higanyt is tartalmaznak, ami nem jelent teljes biztonságot, bár ezt az állítást még nem igazolták teljeskörűen kutatásokkal. Az viszont tény, hogy repedéseket idézhetnek elő a fogban, ezért érdemes minél előbb modernebb tömésekre cserélni a régi amalgámtöméseket.
Cement
A cementtömések szilárd alapot képeznek a fogban, de önmagukban nem szoktuk használni őket.
Arany
Az aranytömések igencsak drágák, viszont tartósak, és akár 20 évig is bírhatják.
Kompozit
A kompozit tömések természetesebb megjelenést biztosítanak a többi opcióhoz képest, ezért is hívjuk a belőlük készült töméseket esztétikus fogtömésnek. A kompozit anyagot személyre lehet szabni, hogy illeszkedjen a fogak eredeti árnyalatához, így látványra és fizikailag is belesimul a fogsorba. De mi is ez a kompozit? Egy műanyag (akril) gyantakeverék apró üvegszemcsékkel, amely a töméseken kívül még számos más kezelésnél használható, például koronák és inlayek esetén is, de letört fogaknál is alkalmazható.
Betétek
Az inlay, más szóval fogbetét, egy nagyméretű ragasztott tömés, amelyet a fog hiányzó részének formájára készítenek el, anyaga pedig lehet kerámia, arany vagy gradia (műgyanta).
A fogtöméscsere folyamata
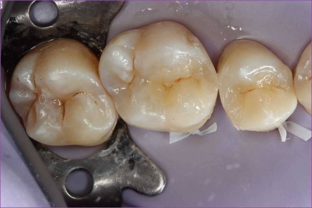
Hosszú távon az amalgámtömés ékként viselkedik, ami miatt a fog megrepedhet, növelve a törésveszély kockázatát. Az érintett fogaknál a csere során teljes izolációban (kofferdam), esztétikus fogtömést készítünk rétegzési technikával és egyedi festéssel. A fog eredeti funkcióit anatómiailag tökéletesen helyreállítjuk, a kompozit tömőanyag kiváló mechanikai tulajdonságai révén pedig tartós eredményt kapunk, amely ráadásul láthatatlanul simul bele a fogba.
A fogtömés menete kompozit tömőanyag esetén
- A látogatás elején kiválasztjuk a töméshez használt kompozit árnyalatát.
- A páciens ezután kap egy érzéstelenítő injekciót a fog és a környező területet elzsibbasztásához.
- A lyukas fogból eltávolítjuk a szuvasodás által érintett foganyagot, hogy megszabaduljunk a baktériumoktól, melynek során igyekszünk az ép foganyagot a lehető legnagyobb mértékben megkímélni.
- A kialakult üreget alábélelők és ragasztóanyagok segítségével előkészítjük a fogtömésre.
- Ezután megkezdjük a kompozit anyag rétegezését, amelynek során a fogorvos egy speciális fényt, fotopolimerizációs eljárást alkalmaz a tömőanyag megszilárdításához. Mivel a kompozitot rétegenként alkalmazzák, a lámpát minden egyes rétegnél használjuk.
- Utolsó lépésként megformázza és kontúrozza a fog felszínét, majd ellenőrzi a harapást, hogy megbizonyosodjon arról, hogy a fogpótlás kényelmesen használható.
Tipp: Szeretne többet tudni a fogtömésekről? Olvassa el Fogtömés menete szakszerűen: a fogtömés anyagairól és típusairól című cikkünket, amelyben a leggyakrabban felmerülő kérdésekre is választ adunk.
Esztétikus fogtömés árak az Unikliniknél
Az esztétikus tömések árairól ide kattintva tájékozódhat.
Esztétikus fogtömés Budapest szívében
Esztétikus fogtömésre van szüksége? Keressen bennünket telefonon, vagy kérjen konzultációt bejelentkezési űrlapunkon, hogy a lehető legjobb és legprofibb kezelést nyújthassuk Önnek. Rendelőnkben az esztétikai fogászat keretében a mosolytervezéstől kezdve a fogkő-eltávolításig a legmodernebb kezelésekkel és eljárásokkal várjuk pácienseinket.
Fogászatunk saját röntgen- és CT-laborral rendelkezik, így az egyszerű kisfelvételtől a panorámaröntgenen át a 3 dimenziós CT-ig minden szükséges felvételt elkészítünk a precíz diagnózishoz.

