Parodontológia
A rendszertelen és helytelen fogtisztítás rossz szájhigiéniáról tanúskodik, ami előbb-utóbb könnyen fogszuvasodáshoz, illetve fogágybetegség kialakulásához vezethet. A fogágybetegség nem gyógyul meg magától. Kezelés nélkül ez az elváltozás foglazulással, hosszú távon pedig a fog elvesztésével jár. A fogínyvérzés, az íny duzzanata, vöröses elszíneződése és a fájdalom a fogágybetegség lehetséges jele – de szerencsére a modern fogászat már szinte minden problémára talált megoldást!
A parodontológia jelentése
A parodontológia a fogat körülvevő rögzítő rendszer és az íny betegségeivel, kezelésével foglalkozó tudományág.
A fogágy a fogakat körülvevő szövetekből áll. Részei a fogíny, a foggyökér felszínét borító cement, a fogat körülvevő csont, valamint a csont és foggyökér között elhelyezkedő rostrendszer.
A szájüregben az étkezések során folyamatosan képződik a lepedék, amely lerakódik a fogak felszínén, a fogközökben és az íny mentén is. Ha hosszú ideig nem történik meg a lepedék eltávolítása, az a fogágy szöveteinek károsodásához vezet.
A hozzánk forduló páciensek esetében először ultrahangos fogkő-eltávolítást alkalmazunk, dentálhigiénikus szakember segítségével otthoni szájápolási tervet készítünk, majd ha szükséges, különböző beavatkozásokkal helyreállítjuk a sérült szöveteket. Ha elértük az egyensúlyi állapotot a szájban, esztétikailag is korrigáljuk a beteg területet, majd közös szájápolási rutin kialakításával igyekszünk fenntartani az egészséges állapotot.
Mivel foglalkozik a parodontológus?
A parodontológus az ínygyulladás, ínyvisszahúzódás és fogágybetegség gyógyítására specializálódott szakorvos, aki szakszerű kezelésekkel megszünteti a parodontitist (hétköznapi nyelvben a fogínysorvadás) és különböző kezelésekkel helyreállítja a károsodott szöveteket.
A parodontológus tehát az íny és a fogágy megbetegedéseit gyógyítja. Duzzadt, érzékeny az ínye, fogmosáskor hajlamos vérezni? Vagy némelyik foga kilazult és enyhén mozog? Az előbbi jelek ínygyulladásra utalnak, az utóbbi pedig már a fogágybetegségre, melyre szakszerű megoldást nyújtanak parodontológus szakorvosaink!
Leggyakoribb parodontológiai kezelések
A parodontológiai kezeléseket több stádiumra bonthatjuk a problémák előrehaladásának függvényében. Ettől függ a fogágybetegség kezelése.
Az első stádiumban még csupán az ínyen jelentkeznek a kellemetlen tünetek. Ez a folyamat teljes egészében visszafordítható. Súlyosabb fázisba akkor lépünk át, amikor a betegség már átterjedt a fogat körülvevő csontra. Ekkor a károsodás mielőbbi beavatkozás és szakszerű kezelés segítségével megállítható, de fontos tudni, hogy nem minden esetben fordítható már vissza.
Éppen ezért nem győzzük hangsúlyozni a megelőzés, az ellenőrzés és a megfelelő szájhigiénia fontosságát. Kezdeti stádiumban az alapos és rendszeres fogmosás, a fogselyem és fogköztisztító kefe szakszerű használata, valamint a szájöblögetés segíthet. Javasoljuk, hogy évente egyszer keresse fel fogorvosát fogkőeltávolítás céljából, valamint legalább évente kétszer egy rutin fogászati szűrővizsgálat erejéig!
Fogkőeltávolítás, azaz depurálás
Kiemelten fontos megemlítenünk, hogy a fogkőeltávolítás otthon nem lehetséges, ezért otthoni módszerekkel ne is próbálkozzon, hiszen könnyen kárt tehet a fogzománcban! A fogkő-eltávolítást budapesti szakrendelőnkben speciális kézi műszerekkel és ultrahangos depurátor segítségével végezzük.
A parodontológiai beavatkozások előkészítéseként általában ultrahangos fogkő-eltávolítás történik a fogíny felett. Az íny alatti részek áttisztításához főként kézi műszerek használatosak. Ez a módszer a parodontológus szakorvos által végzett, úgynevezett kürettelálás, melynek két fajtáját különböztetjük meg.
Zárt kürettálás
A zárt kürettálás során speciális kézi eszközökkel történik az íny alatti fogfelszín tisztítása helyi érzéstelenítés mellett. Ilyenkor kerül sor a paradontális tasakokban található gyulladt szövetek és a fertőzött gyökércement eltávolítására. A zárt kürett során nem ejtünk vágást az ínyen, sajnos a beavatkozás hátránya azonban az, hogy nincs megfelelő rálátásunk a mély tasakokban található fogkőre és gyulladt szövetekre.
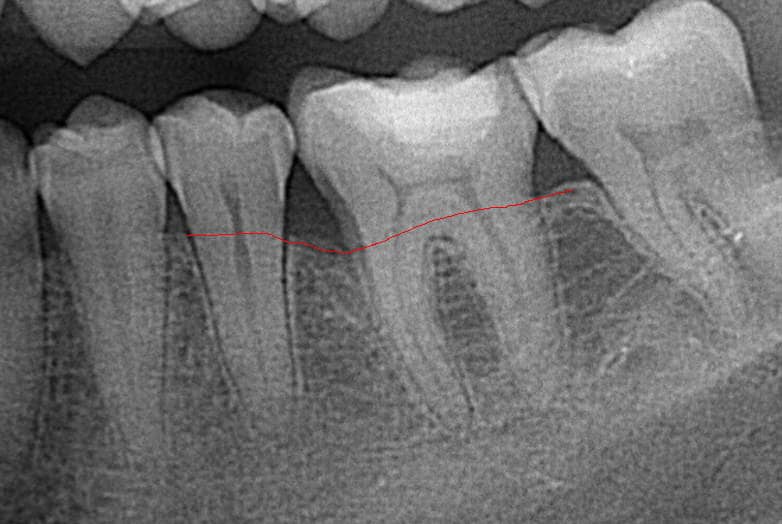
Az alábbi képen jól látszódik a csonthiány.
A következő képen pedig a regeneratív műtét után 6 hónappal később az elért csont visszaépülése látható.
Nyitott kürettálás
A nyitott kürettálásra mindig abban az esetben kerül csak sor, ha a zárt kürettálást követően maradnak még mély parodontális tasakok. A beavatkozás során az ínyen vágást ejtünk, hogy a nehezen hozzáférhető íny alatti fogfelszíneket és a parodontális tasak alját is meg tudjuk tisztítani. A beavatkozás után az íny visszafektetésére kerül sor, melyeket varratok segítségével fixálunk. A varratok eltávolítása általában 10-14 nap után válik lehetségessé.
Nyitott kürettnél a zárt kürettel ellentétben tehát az ínyt megnyitjuk, így jó hatásfokkal tisztíthatjuk meg a gyulladt, problémás részt.
A kürettálás mindig helyi érzéstelenítésben történik, így a beavatkozás teljesen fájdalommentes a páciens számára! Előrehaladott parodontális problémák esetében csontpótlás és ínyfeltöltés is a kezelés részét képezheti.
Parodontológia (fogágybetegségek kezelése)
Parodontológiai konzultáció, diagnózis, kezelési terv (panoráma röntgent nem tartalmazza)
Ennek során felmérjük a fogágy és fogíny állapotát, az esetleges gyulladás súlyosságát. Az így kapott információk alapján egyénre szabott kezelési tervet készítünk pácienseink számára.
16 500 Ft
Plakkfestés, instruálás, motiválás
A megfelelő fogmosási technika kialakítása szakember által. A fogápoló eszközök hatékony használatának elsajátítása (fogkefe, fogselyem, fogköztisztító kefe). A kialakított otthoni szájápolás ellenőrzése a lepedéket megfestő tabletta segítségével. Több alkalom is lehet. Ínykorrekció, parodontális pakolás foganként.
21 500 Ft
Zárt kürett foganként
A gyulladás miatt kialakult tasakok nem műtéti kezelése. Akkor kerül sor ilyen beavatkozásra, ha a gyulladás súlyossága nem indokolja a műtéti beavatkozást, vagy műtéti beavatkozás nem végezhető valamilyen egyéb betegség, állapot miatt. Helyi érzéstelenítésben eltávolítjuk a fogak gyökerére tapadt fogköveket, majd lesimítjuk ezeket a felszíneket, illetve ezzel egy időben a gyulladásos szöveteket is eltávolítjuk a fog környezetéből. Ezt követően a kezelt területre a gyógyulást segítő anyagot helyezünk.
25 000 Ft -tól
Nyitott kürett foganként
A gyulladás miatt kialakult tasakok műtéti kezelése. Akkor kerül sor ilyen beavatkozásra, ha a gyulladás súlyossága indokolja a műtéti beavatkozást, vagy a korábbi zárt kürettett követően visszamaradt tasakokat kell megszüntetni, hogy a betegség ne újuljon ki. Helyi érzéstelenítésben lebenyt készítünk, hogy a fogak körül lévő gyulladásos szövetekhez és az íny alatti fogkövekhez hozzáférjünk. A felületeket megtisztítjuk és lesimítjuk. Majd ezt követően a lebenyt varratokkal újra egyesítjük.
55 000 Ft -tól
Membrán műtét foganként (csontpótlóval)
A fogak körül kialakult csontkráterek műtéti kezelése. Ennek segítségével növelhetjük ezen fogak stabilitását, amellett stabil gyulladásmentes állapotot érhetünk el. Helyi érzéstelenítésben lebenyt készítünk, hogy a fogak körül lévő gyulladásos szövetekhez és az íny alatti fogkövekhez hozzáférjünk. A felületeket megtisztítjuk és lesimítjuk. Majd ezt követően valamilyen csontpótló anyaggal feltöltjük a csontkrátert és a lebenyt varratokkal újra egyesítjük.
190 000 Ft
A fogágybetegségek tünetei
Melyek a fogágybetegség leggyakrabban előforduló tünetei?
A fogágy megbetegedései eleinte nem mutatnak kifejezett tüneteket, ezért igen megtévesztő ez az állapot, hogy sokáig akár nem is tapasztalunk fájdalmat. Amikor az íny duzzanata már számottevő, érzékennyé válik, színe sötétpiros, fogmosáskor vérzést tapasztalunk, vagy amikor az íny elkezd visszahúzódni és a fogak kilazulnak, a fogágybetegség már előrehaladott stádiumban van. A tünetek többek között:
- Kellemetlen lehelet
- Szemmel látható fogkőképződés
- Fognyaki érzékenység, ritkán enyhe, majd erősödő fájdalom
- A fogíny duzzanata, vöröses-lilás színe
- Fogínyvérzés
- Ételbeékelődés
- Váladékozás
- A fogíny visszahúzódása és a fognyakak láthatóvá válása
- Elmozduló és mozgó fogak
Ne felejtsük, bármely tünet észlelése során mihamarabb keressük fel fogorvosunkat, hogy a fogágybetegség megelőzhető, vagy megállítható legyen!
A fogágybetegség okai
A fogágybetegség okait többféleképpen is csoportosíthatjuk, de általában a következő kategóriákról beszélhetünk:
- Szerzett okok: A fogágybetegség úgynevezett primer etiológiai tényezője, vagyis az a tényező, ami mindenképpen kell a betegség kialakulásához, a rossz fogmosási technika miatt, a fogfelszíneken megtapadó ételmaradék és a benne elszaporodó baktériumok.
- Helyi plakkretenciós faktorok: A plakkretenciós tényezők helyileg okoznak ételmaradék felhalmozódást az ínyszélnél és az íny alatt ezáltal rontják a fogmosás hatékonyságát.. Ilyenek például a rosszul illeszkedő fogpótlások (elálló, kiálló koronák és tömések).
- Örökletes tényezők: Öröklés által csökkenhet az immunrendszer védekezőképessége a fertőzésekkel szemben, így a fogágyé is. Az ételmaradékban lévő baktériumok ezért könnyebben tudnak gyulladást okozni.
- Külső tényezők: Sajnos több gyógyszer is gyorsíthatja a már kialakult fogágybetegség lefolyását. Ilyenek lehetnek bizonyos vérnyomáscsökkentők és immunszupresszáns gyógyszerek.
Súlyosbító tényezők
- Rossz szájhigiénia: Nem győzzük hangsúlyozni, hogy a nem megfelelő technikával, gyakorisággal, illetve eszközökkel végzett fogmosás és szájápolás igen káros lehet.
- Dohányzás: A dohányzás az immunrendszerünk védekezését gátolja, a nikotin miatt pedig az íny vérkeringése is károsodik. Nem mellesleg ez a káros szokás a fogak sárgulásához is vezet, ami esztétikailag is rontja a mosolyunkat.
- Egészségügyi tényezők: A kezeletlen cukorbetegség, a csontritkulás, különböző immunhiányos állapotok szintén gyorsítják a fogágybetegség lefolyását, valamint rontják a kezelések hatékonyságát.
- Hormonális változások: A testben lezajló hormonális változások fokozhatják a gyulladásos tüneteket például a serdülőknél vagy a terhesség során. Gyermekvállalás előtt ezért mindenképpen szükséges a fogágy vizsgálata és már kialakult fogágybetegség esetén annak megszűntetése! Terhesség alatt sajnos a meglévő fogágybetegség extrém módon fel tud gyorsulni és a kezelési lehetőségek a magzat védelme miatt rendkívül limitáltak.
Gyakran ismételt kérdések
Mi a parodontológia jelentése?
A parodontológia az íny és a fogágy megbetegedéseivel és kezelésével foglalkozó szakterület a fogászaton belül.
Mik a fogágybetegség tünetei?
A tünetek többek között főképp a kellemetlen lehelet, a fogkőképződés, a fogíny duzzanata, vérzése, visszahúzódása, a fogak elmozdulása lehet.
Mik a fogágybetegség következményei?
A gyulladt szövetek legkellemetlenebb következménye a foglazulás, illetve a beteg fog kiesése / elvesztése, ami sajnos már csak fogpótlással orvosolható.
Megelőzhető-e a fogágybetegség?
Igen! Helyes fogápolással és rendszeres fogorvosi kontrollal a fogágybetegség megelőzhető. A legtöbb esetben a visszafordíthatatlan csontszövet-károsodások gyakorlatilag egyetlen biztos ellenszere a megelőzés.
Parodontológia budapesti rendelőnkben
Parodontológia Budapest szívében az Uniklinik Fogászati és Implantációs Központ szakemberei által! Dr. Bartha Boldizsár parodontológus szakorvos, és Dr. Orbán Kristóf Phd parodontológus szakorvos várják Önt rendelőnkben. Online bejelentkező rendszerünkkel gyorsan és kényelmesen foglalhat időpontot parodontológus szakembereinkhez!

